【東武東上線東武練馬駅より徒歩5分】オーダーメイドの医療を目指す長坂歯科クリニック
長坂歯科クリニックは、東武練馬駅より徒歩5分の位置にあり、駐車場が1台分ございますので前もってご連絡の上、駐車場No.3をご利用ください。
長坂歯科クリニックでは、できるだけお待たせすることのないよう「予約制」を採用しています。お電話にて、症状やご都合をお伝えいただければ、スムーズに対応ます。また、噛み合わせについては、1本の歯を単独で見るのではなく、全体のバランスを考慮して総合的に診療を行っております。
新型コロナウイルス感染症対策について
感染拡大防止のため、以下の対応を行っております。
緊急性が低く、延期しても問題が少ない治療や定期検診の延期
切削器具やスケーラを使った最小限の治療
患者ごとにタービンの滅菌、スタッフのフェイスガードやアイソレーションガウンの着用、口腔外バキュームの併用
待合室や診療室の徹底した換気
処置前の手や口腔内の消毒、検温の実施
現在、歯科医療の縮小により患者の健康に影響が出ることが懸念されますが、更なる感染拡大を防ぐため、また感染収束後の診療体制を維持するためにも、ご理解とご協力をお願い申し上げます。
長坂歯科クリニックでは、ヨーロッパ規格EN13060(クラスS)の滅菌性能を持つ滅菌器を導入し、徹底した衛生管理を行っています。質の高い歯科治療を提供し続けることを責任とし、精密な治療を目指しています。また、治療終了後も最高の口腔状態を維持することが重要です。定期メンテナンスで生じた問題には迅速に対応ます。
長坂歯科クリニックでは、できるだけお待たせすることのないよう「予約制」を採用しています。お電話にて、症状やご都合をお伝えいただければ、スムーズに対応ます。また、噛み合わせについては、1本の歯を単独で見るのではなく、全体のバランスを考慮して総合的に診療を行っております。
新型コロナウイルス感染症対策について
感染拡大防止のため、以下の対応を行っております。
緊急性が低く、延期しても問題が少ない治療や定期検診の延期
切削器具やスケーラを使った最小限の治療
患者ごとにタービンの滅菌、スタッフのフェイスガードやアイソレーションガウンの着用、口腔外バキュームの併用
待合室や診療室の徹底した換気
処置前の手や口腔内の消毒、検温の実施
現在、歯科医療の縮小により患者の健康に影響が出ることが懸念されますが、更なる感染拡大を防ぐため、また感染収束後の診療体制を維持するためにも、ご理解とご協力をお願い申し上げます。
長坂歯科クリニックでは、ヨーロッパ規格EN13060(クラスS)の滅菌性能を持つ滅菌器を導入し、徹底した衛生管理を行っています。質の高い歯科治療を提供し続けることを責任とし、精密な治療を目指しています。また、治療終了後も最高の口腔状態を維持することが重要です。定期メンテナンスで生じた問題には迅速に対応ます。
インプラント治療のこだわりポイント

インプラント治療は、歯を失った部分に人工の歯根(インプラント)を埋め込み、その上に人工歯を装着する治療方法です。
インプラントは、チタン製の人工歯根を顎骨に埋入し、骨としっかり結合することで天然の歯と同様に強固な土台を作ります。この治療法は、見た目が自然で、しっかり噛むことができるという利点があります。また、隣の健康な歯を削る必要がなく、部分入れ歯やブリッジと異なり、他の歯に負担をかけないことが特徴です。
ただし、インプラント治療は手術を伴い、顎骨の状態や全身の健康状態により適用が制限される場合があります。また、手術後のケアや定期的なメンテナンスが重要であり、インプラントの長期的な成功には、患者自身のケアも不可欠です。
費用面では保険適用外であることが多く、自由診療となるため、事前に十分な説明を受けることが大切です。
インプラントは、チタン製の人工歯根を顎骨に埋入し、骨としっかり結合することで天然の歯と同様に強固な土台を作ります。この治療法は、見た目が自然で、しっかり噛むことができるという利点があります。また、隣の健康な歯を削る必要がなく、部分入れ歯やブリッジと異なり、他の歯に負担をかけないことが特徴です。
ただし、インプラント治療は手術を伴い、顎骨の状態や全身の健康状態により適用が制限される場合があります。また、手術後のケアや定期的なメンテナンスが重要であり、インプラントの長期的な成功には、患者自身のケアも不可欠です。
費用面では保険適用外であることが多く、自由診療となるため、事前に十分な説明を受けることが大切です。
医院としての理念・方針

院長の理念
患者様は、ご自身の診断や治療、予後について新しい情報を得る権利をお持ちです。私たち医療従事者は、患者の期待に応えるべく、プライバシーや尊厳を守りながら、責任を持って診療を行います。
患者様は、ご自身の診断や治療、予後について新しい情報を得る権利をお持ちです。私たち医療従事者は、患者の期待に応えるべく、プライバシーや尊厳を守りながら、責任を持って診療を行います。
院長について

■経歴・所属学会
日本大学歯学部卒業 同付属病院口腔外科入局
東京医科歯科大学卒後研修
ノーベルバイオケアインプラント認定
日本口腔医科学会認定医
日本大学歯学部卒業 同付属病院口腔外科入局
東京医科歯科大学卒後研修
ノーベルバイオケアインプラント認定
日本口腔医科学会認定医
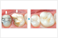
虫歯治療:最小限の歯質削除で治療

虫歯治療は、歯にできた虫歯を除去し、その部分を適切な材料で修復する治療です。虫歯は放置すると進行し、歯の内部にある神経や血管にまで感染が広がることがあります。
初期段階では、虫歯を削り、詰め物(インレー)や充填物(レジン)を使って歯を修復します。進行した虫歯では、詰め物やかぶせ物(クラウン)が必要になる場合があります。虫歯の進行度合いに応じて、削る範囲を最小限に抑え、できるだけ多くの健康な歯質を残す「保存修復」の考え方が重要です。
また、最近では審美性を重視したセラミックやコンポジットレジンを用いることも一般的です。これにより、治療後も自然な歯の見た目が保たれます。早期発見と治療が虫歯の進行を防ぎ、歯を長持ちさせるために定期的な検診が推奨されます。
長坂歯科クリニックでは、MID(Minimal Intervention Dentistry)という治療概念のもと、レイヤリングテクニックを駆使し、歯質の削除量を最小限に抑えながら、審美性に優れた治療を提供しています。患者に満足していただけるよう、常に最善の治療を心がけています。また、根面う蝕やくさび状欠損、咬耗症などの歯の摩耗に対しては、臨床的なガイドラインをもとに治療方針を提示し、歯頸部知覚過敏症の治療も行っています。
初期段階では、虫歯を削り、詰め物(インレー)や充填物(レジン)を使って歯を修復します。進行した虫歯では、詰め物やかぶせ物(クラウン)が必要になる場合があります。虫歯の進行度合いに応じて、削る範囲を最小限に抑え、できるだけ多くの健康な歯質を残す「保存修復」の考え方が重要です。
また、最近では審美性を重視したセラミックやコンポジットレジンを用いることも一般的です。これにより、治療後も自然な歯の見た目が保たれます。早期発見と治療が虫歯の進行を防ぎ、歯を長持ちさせるために定期的な検診が推奨されます。
長坂歯科クリニックでは、MID(Minimal Intervention Dentistry)という治療概念のもと、レイヤリングテクニックを駆使し、歯質の削除量を最小限に抑えながら、審美性に優れた治療を提供しています。患者に満足していただけるよう、常に最善の治療を心がけています。また、根面う蝕やくさび状欠損、咬耗症などの歯の摩耗に対しては、臨床的なガイドラインをもとに治療方針を提示し、歯頸部知覚過敏症の治療も行っています。
歯根治療:歯内の予防と治療

歯根治療(歯内療法)は、深く進行した虫歯や外傷により、歯の神経や血管が感染した場合に行う治療です。
この治療の目的は、感染した歯髄を除去し、根管内を清掃・消毒した後に根管を封鎖することで、歯を残すことです。根管治療を行うことで、歯を抜かずに機能を維持できる場合が多くあります。
治療のプロセスは、まず感染部分を除去し、専用の器具で根管を清掃した後、根管内に充填材を入れて密閉します。根管は非常に細く複雑な形状をしているため、高度な技術と精密な器具が必要です。治療が適切に行われれば、歯は長期間にわたって健康に機能しますが、根管治療が不十分だと、再感染や痛みが生じる可能性があります。
歯の保存が可能かどうかの判断は専門的な診断が必要で、早めの治療開始が鍵となります。
歯髄疾患や根尖性歯周疾患の予防と治療にも力を入れており、なぜ同じ歯の治療を何度も繰り返すことがあるのか、根の治療が歯科治療全体の質を左右する重要な要素であると理解しています。歯根はX線画像に映らないほど複雑な形状をしており、専用の器具や洗浄液を使って正確な治療を行っています。
この治療の目的は、感染した歯髄を除去し、根管内を清掃・消毒した後に根管を封鎖することで、歯を残すことです。根管治療を行うことで、歯を抜かずに機能を維持できる場合が多くあります。
治療のプロセスは、まず感染部分を除去し、専用の器具で根管を清掃した後、根管内に充填材を入れて密閉します。根管は非常に細く複雑な形状をしているため、高度な技術と精密な器具が必要です。治療が適切に行われれば、歯は長期間にわたって健康に機能しますが、根管治療が不十分だと、再感染や痛みが生じる可能性があります。
歯の保存が可能かどうかの判断は専門的な診断が必要で、早めの治療開始が鍵となります。
歯髄疾患や根尖性歯周疾患の予防と治療にも力を入れており、なぜ同じ歯の治療を何度も繰り返すことがあるのか、根の治療が歯科治療全体の質を左右する重要な要素であると理解しています。歯根はX線画像に映らないほど複雑な形状をしており、専用の器具や洗浄液を使って正確な治療を行っています。
歯周治療:専用洗浄機による治療

歯周治療は、歯を支える歯茎や骨の健康を回復・維持することを目的とした治療です。
歯周病は、歯茎の炎症や歯槽骨の破壊を引き起こし、最終的には歯が抜け落ちてしまう病気です。初期の歯肉炎であれば、適切なブラッシングや歯石除去(スケーリング)などの基本的なケアで治癒可能ですが、進行した歯周炎では、歯周ポケット内の徹底的なクリーニングや、外科的な処置が必要になる場合もあります。
レーザー治療や歯周組織再生療法などの最新技術を活用することで、出血や痛みを最小限に抑えながら治療を行うことができます。歯周病は、糖尿病や心疾患などの全身疾患とも深い関連があるため、早期発見と継続的なメンテナンスが非常に重要です。
定期的なプロフェッショナルクリーニングと適切なホームケアを続けることで、歯周病の進行を防ぎ、健康な口腔環境を維持することができます。
歯周病菌は口腔内にとどまらず、さまざまな全身疾患を引き起こすことがあるため、早期発見・早期治療が重要です。歯ブラシの届かない部分にはレーザーを照射し、歯周組織の状態に応じて専用の洗浄器を用い、きめ細かい洗浄を行うことで再発防止に努めています。
歯周病は、歯茎の炎症や歯槽骨の破壊を引き起こし、最終的には歯が抜け落ちてしまう病気です。初期の歯肉炎であれば、適切なブラッシングや歯石除去(スケーリング)などの基本的なケアで治癒可能ですが、進行した歯周炎では、歯周ポケット内の徹底的なクリーニングや、外科的な処置が必要になる場合もあります。
レーザー治療や歯周組織再生療法などの最新技術を活用することで、出血や痛みを最小限に抑えながら治療を行うことができます。歯周病は、糖尿病や心疾患などの全身疾患とも深い関連があるため、早期発見と継続的なメンテナンスが非常に重要です。
定期的なプロフェッショナルクリーニングと適切なホームケアを続けることで、歯周病の進行を防ぎ、健康な口腔環境を維持することができます。
歯周病菌は口腔内にとどまらず、さまざまな全身疾患を引き起こすことがあるため、早期発見・早期治療が重要です。歯ブラシの届かない部分にはレーザーを照射し、歯周組織の状態に応じて専用の洗浄器を用い、きめ細かい洗浄を行うことで再発防止に努めています。
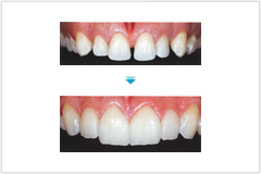
審美治療:一本一本の噛み合わせ対応

審美治療は、歯の美しさと機能性を両立させることを目指した治療です。歯の色、形、並び方などの見た目を改善し、笑顔や表情をより魅力的にするための治療法が含まれます。
主な審美治療には、ホワイトニング、セラミッククラウンやラミネートベニア、矯正治療などがあります。ホワイトニングでは、専用の薬剤を使って歯を白くし、自然な明るさを取り戻します。セラミッククラウンやラミネートベニアは、歯の形や色を改善するために使用され、特に前歯の審美性を高めるのに適しています。
これらの治療は、自然な見た目と機能を持つ仕上がりを重視しており、金属を使わないオールセラミック素材などが選ばれることが多いです。また、審美治療は噛み合わせのバランスも重要であり、単に見た目だけでなく、機能面でも患者に快適な治療結果を提供することが目標です。
審美的な治療を提供する際にも、噛み合わせが悪いと本当の美しさとは言えません。患者様の希望に合わせて処置方法や材料を選択し、長期的な安定性を保つために、精度の高い治療を目指しています。
長坂歯科クリニックではオフィスホワイトニングを行っております。笑顔から見える白い歯は非常に魅力的ですので、ご希望があればぜひご相談ください。
主な審美治療には、ホワイトニング、セラミッククラウンやラミネートベニア、矯正治療などがあります。ホワイトニングでは、専用の薬剤を使って歯を白くし、自然な明るさを取り戻します。セラミッククラウンやラミネートベニアは、歯の形や色を改善するために使用され、特に前歯の審美性を高めるのに適しています。
これらの治療は、自然な見た目と機能を持つ仕上がりを重視しており、金属を使わないオールセラミック素材などが選ばれることが多いです。また、審美治療は噛み合わせのバランスも重要であり、単に見た目だけでなく、機能面でも患者に快適な治療結果を提供することが目標です。
審美的な治療を提供する際にも、噛み合わせが悪いと本当の美しさとは言えません。患者様の希望に合わせて処置方法や材料を選択し、長期的な安定性を保つために、精度の高い治療を目指しています。
長坂歯科クリニックではオフィスホワイトニングを行っております。笑顔から見える白い歯は非常に魅力的ですので、ご希望があればぜひご相談ください。
自由診療のリスク・副作用、その他
自由診療について
患者様のさまざまなニーズに応えるために自由診療を提供しております。しかし、自由診療には健康保険適用外の治療が含まれるため、以下の点にご注意ください。
【リスクについて】
自由診療には、保険適用治療に比べて高度かつ専門的な治療が含まれる場合があります。これらの治療はより高い技術を要求されるため、一般的な治療よりもリスクが高まる可能性があります。
【副作用について】
すべての医療行為には副作用のリスクが伴います。自由診療の場合、使用する材料や治療方法が特殊な場合があるため、通常の治療とは異なる副作用が発生する可能性があります。
【費用について】
自由診療は健康保険の適用外であるため、保険診療と比較して高額になることがあります。治療前には必ず費用の詳細について説明を行い、ご同意をいただいてから治療を開始します。
【治療の選択について】
患者様の健康状態や希望に合わせて、最適な治療計画を提案します。自由診療は選択肢の一つであり、必ずしもすべての患者様に適しているわけではありません。
【その他の注意事項】
治療後のフォローアップやメンテナンスについても、自由診療の範囲内で行うことがあります。これには追加の費用が発生する場合があります。
患者様一人ひとりに合った治療を心がけております。自由診療を含むすべての治療オプションについて、十分な説明とともに、患者様のご理解とご同意を得ることを重視しています。ご不明な点やご心配なことがございましたら、遠慮なくご相談ください。
患者様のさまざまなニーズに応えるために自由診療を提供しております。しかし、自由診療には健康保険適用外の治療が含まれるため、以下の点にご注意ください。
【リスクについて】
自由診療には、保険適用治療に比べて高度かつ専門的な治療が含まれる場合があります。これらの治療はより高い技術を要求されるため、一般的な治療よりもリスクが高まる可能性があります。
【副作用について】
すべての医療行為には副作用のリスクが伴います。自由診療の場合、使用する材料や治療方法が特殊な場合があるため、通常の治療とは異なる副作用が発生する可能性があります。
【費用について】
自由診療は健康保険の適用外であるため、保険診療と比較して高額になることがあります。治療前には必ず費用の詳細について説明を行い、ご同意をいただいてから治療を開始します。
【治療の選択について】
患者様の健康状態や希望に合わせて、最適な治療計画を提案します。自由診療は選択肢の一つであり、必ずしもすべての患者様に適しているわけではありません。
【その他の注意事項】
治療後のフォローアップやメンテナンスについても、自由診療の範囲内で行うことがあります。これには追加の費用が発生する場合があります。
患者様一人ひとりに合った治療を心がけております。自由診療を含むすべての治療オプションについて、十分な説明とともに、患者様のご理解とご同意を得ることを重視しています。ご不明な点やご心配なことがございましたら、遠慮なくご相談ください。
この医院の口コミはまだありません
受付時間
診療時間 | 日 | 月 | 火 | 水 | 木 | 金 | 土 |
---|---|---|---|---|---|---|---|
09:00 ~ 13:00 | |||||||
14:00 ~ 17:00 | |||||||
14:00 ~ 16:00 |
休診日:木曜・祝日
アクセスマップ
基本情報
医院名 | 長坂歯科クリニック |
所在地 | 〒175-0083 東京都 板橋区 徳丸1-4-10 |
最寄駅 | 東武練馬駅 東口 徒歩5分 |
診療内容 | 歯冠修復、欠損補綴 / 根管治療 / 歯周病治療 / 予防治療 / 小児歯科 / 口腔外科治療 / インプラント治療 |
医院ID | 16112 |