brand
サイトの特徴・使い方 閲覧履歴 会員登録 ログイン
トップ  -  東京都  -  北区  -  あすか歯科クリニック
口コミを投稿
Teech(ティーチ)を見たとお伝えください
03-3822-8779

あすか歯科クリニック

所在地
東京都 北区 田端1-21-8 NSKビル203
最寄駅
田端駅 北口 徒歩1分
【田端駅徒歩1分】安心の診療環境を提供するあすか歯科クリニック
①受付②診療チェア③エックス線室
①受付②診療チェア③エックス線室
①受付②診療チェア③エックス線室
出典:あすか歯科クリニック
①受付②診療チェア③エックス線室
あすか歯科クリニックは、東京都北区田端駅から徒歩1分の位置にある歯科クリニックです。あすか歯科クリニックでは、一般歯科、インプラント治療、矯正歯科、歯の清掃(PMTC)など、多岐にわたる診療科目を取り扱っており、患者様のニーズに応じた最適な治療を提案しています。特に矯正歯科では、大学病院から派遣された専門医が担当しており、質の高い治療を受けることができます。

また、あすか歯科クリニックでは、リラックスして治療を受けていただけるよう、院内環境にもこだわっています。待合室は落ち着いた雰囲気で、診療室は目隠しでプライバシーが守られた空間を確保しています。さらに、鉛の入った壁で隔離されたエックス線室が完備されており、正確な診断に基づいた治療を行っています。お気軽にご相談ください。

2020年には北区長より区政功労表彰を受賞するなど、地域医療に対する貢献も高く評価されています。院内の設備と技術、そして地域密着型の丁寧な医療サービスがあすか歯科クリニックの特長です。
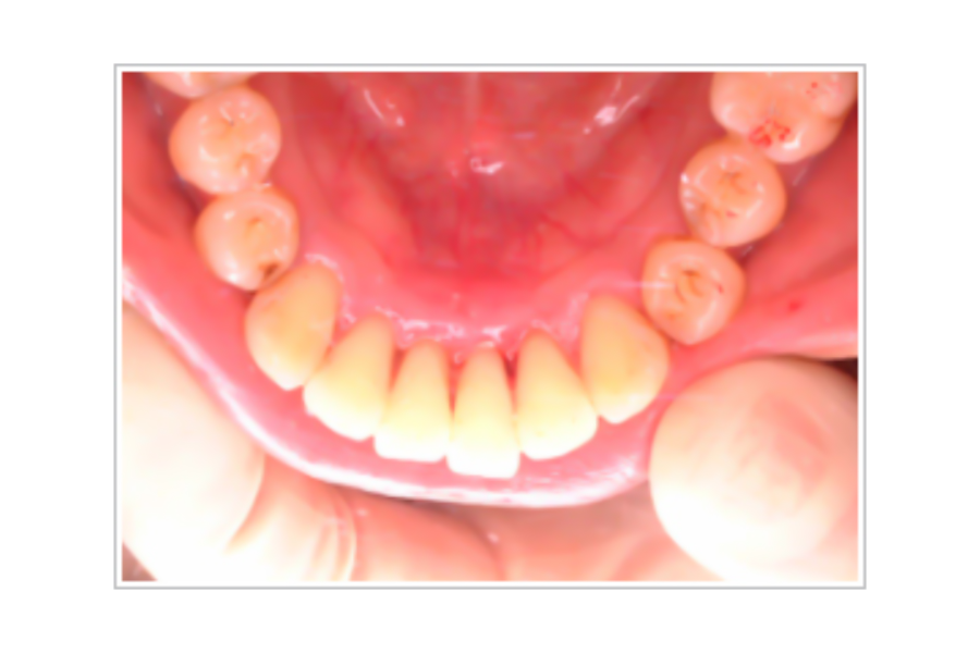
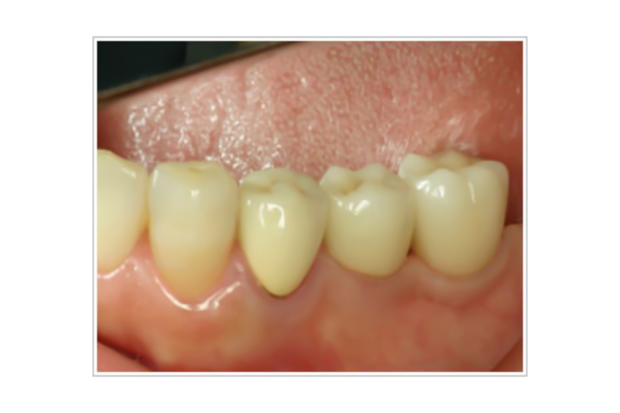
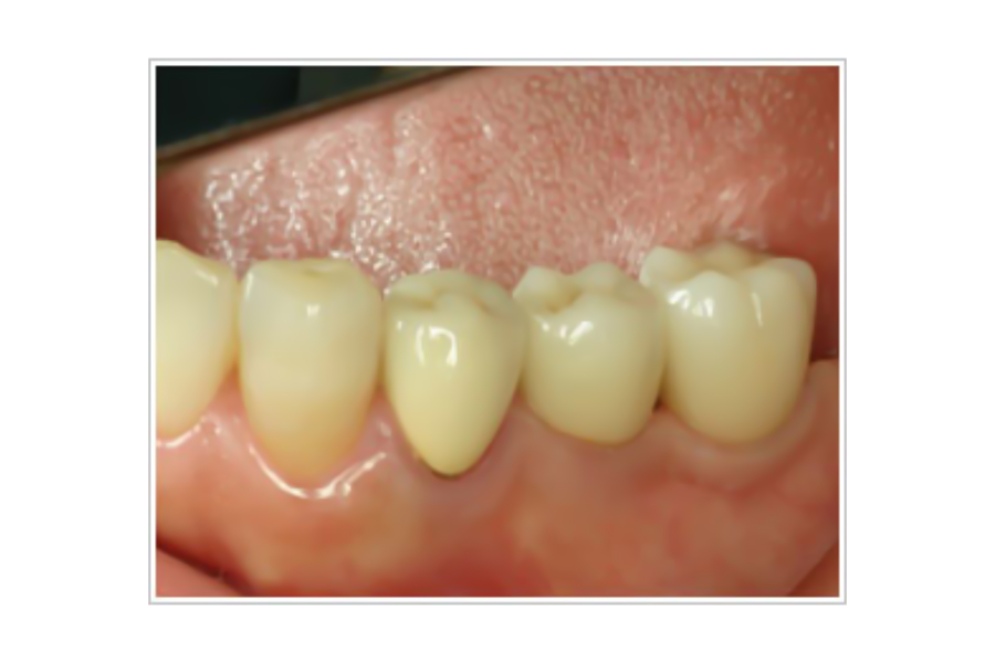
インプラント治療のこだわりポイント
治療から5年後の状態 治療から5年後の状態
あすか歯科クリニックのインプラント治療は、患者様にしっかりとした噛み心地と自然な見た目を提供することを目指しています。インプラントは、歯が抜けた部分に人工の歯根を埋め込み、その上に補綴物(かぶせ物)を取り付ける治療方法です。入れ歯に比べて安定感があり、違和感が少ないため、快適な生活を送ることができます。

例えば、左下の臼歯部が3本抜けたケースでは、従来であれば入れ歯が一般的な治療法でしたが、奥歯がない場合には入れ歯が安定せず、満足のいく咬み心地が得られないことが多いです。しかし、インプラント治療では、骨の状態が十分に整っていれば、しっかりとした土台を作ることができ、食事の際も自然な感覚で噛むことが可能になります。

治療後の経過も順調で、2週間後には歯肉の状態がきれいに治癒し、補綴物を装着することで、見た目も自然な仕上がりとなります。5年後のX線写真でも、骨や歯肉の状態が安定していることが確認され、長期間にわたって快適な使用感が持続します。あすか歯科クリニックでは、患者様の状態に応じた最適なインプラント治療を提供しております。
医院としての理念・方針
日本歯科医師会のキャラクターグッズの「よ坊さん」 日本歯科医師会のキャラクターグッズの「よ坊さん」
あすか歯科クリニックの院長は、食べることの重要性を「餌」と「文化」という二つの側面から捉えています。食べることは単なる生存の手段にとどまらず、五感を通じて味わう文化的な行為でもあります。医療の役割は、命を守るだけでなく、命を通じて豊かな人生を送るためのサポートをすることです。例えば、食物を自分の歯でしっかり噛み、味わいを感じることが、人生の質を向上させる大切な要素だと考えています。

あすか歯科クリニックでは、患者様がいつまでも自分の歯で美味しく食べられるよう、口腔全般にわたる最新の技術と安心できる治療を提供しています。これにより、患者様の生活の質を支える医療を実現しています。また、治療にあたっては分かりやすい説明を心がけ、患者様一人ひとりに最適なサポートを提供することを目指しています。

あすか歯科クリニックは、地域の皆様が健康な歯で豊かで楽しい生活を送るお手伝いをしています。皆様のご来院を心よりお待ちしております。
院長について
院長の浅野 正樹
院長の浅野 正樹
▽略歴
昭和48年
東京医科歯科大学歯学部卒業
第3補綴学教室入局
平成19年
東京都知事賞(保健、衛生功労)
平成23年
厚生労働大臣賞
平成30年
旭日双光章受章
PMTC:歯の清掃で健康な口腔環境を維持
歯の表面がきれいになります 歯の表面がきれいになります
あすか歯科クリニックでは、患者様の歯をいつまでも健康に保つために、専門的な歯の清掃サービスであるPMTC(Professional Mechanical Tooth Cleaning)を提供しています。日々のブラッシングでは落としきれない歯の汚れや、タバコ、コーヒーによる着色などを、歯科衛生士が専門的な器具を使用してきれいに取り除きます。

例えば、前歯の裏側に蓄積した汚れや歯石は、通常の歯ブラシでは除去が難しいことがあります。このような場合、スケーラーやブラシコーンなどの器具を使い、しっかりと汚れを除去します。また、正しいブラッシング方法の指導も行い、再発防止に努めています。

PMTCは、見た目の改善だけでなく、歯茎の健康を守るためにも効果的です。特に、固い歯石や汚れが歯の溝に入り込んでしまう場合には、時間をかけてしっかりと清掃を行います。歯肉の炎症や出血が見られる場合でも、正しいブラッシングを続ければ、健康な状態に戻ることが期待されます。
日常的なケアと定期的なPMTCによって、健康な歯と歯茎を維持し、美しい笑顔を保つお手伝いをいたします。
強固な維持力を持つ部分義歯治療「コーヌスクローネ」
義歯を清潔な状態でご利用いただけます 義歯を清潔な状態でご利用いただけます
あすか歯科クリニックでは、部分的な義歯において、従来のバネを使用しない「コーヌスクローネ」という強固な維持装置を使用しています。この治療法は、外冠と内冠の二重の冠を用いることで、義歯をしっかりと固定し、見た目にも美しい仕上がりを実現します。

コーヌスクローネは、茶筒の蓋をイメージしていただくと理解しやすいです。蓋がぴったりとはまることで、容易に外れることがなく、安定感があります。同じ原理で、外冠と内冠がしっかりと噛み合い、義歯を強固に固定するのです。

この装置を使用した部分義歯の治療では、歯に負担をかけることなく、快適に食事や会話を楽しむことができます。また、バネが不要なため、見た目にも自然で美しく、義歯が目立ちません。

さらに、コーヌスクローネのもう一つの利点は、清掃がしやすい点です。バネを使用する義歯に比べて、歯の間の清掃が容易になり、衛生面でも優れています。この装置を使用することで、義歯を長く良好な状態で使用し続けることができます。

あすか歯科クリニックでは、このような技術を駆使して、患者様一人ひとりに最適な義歯治療を提供しています。
大学病院からの認定医が行う本格的な矯正治療
お顔のバランスが整います お顔のバランスが整います
あすか歯科クリニックでは、矯正治療を月1回、大学病院から派遣される矯正認定医・矯正指導医が担当しています。矯正治療は歯並びの改善だけでなく、患者様の口腔全体の健康を守るためにも重要な治療です。歯並びや咬み合わせの問題を解消することで、長期的に歯や歯茎への負担を軽減し、口腔環境の維持が容易になります。

矯正治療は、患者様一人ひとりの歯並びに合わせて丁寧に行われます。ある患者様の場合、治療開始前には、患者様の上の前歯の突出や不揃いが見られ、見た目のバランスが崩れていましたが、矯正装置(ブラケット)を装着し、ワイヤーで歯を少しずつ移動させることで、歯並びを改善していきました。上顎のスペースを確保するために左右の第一小臼歯を抜歯するケースもあります。

治療を始めてから3年が経過した頃には、上の前歯の突出や不揃いが見事に整い、顔のバランスもより自然で美しい仕上がりになりました。矯正治療を通じて、患者様は自信を持って笑顔を見せられるようになり、全体的な健康も向上します。

あすか歯科クリニックでは、長期的な視点での効果を見据えた矯正治療を提供し、患者様の健康を支えるお手伝いをいたしますので、お気軽にご相談ください。
自由診療のリスク・副作用、その他
自由診療について
患者様のさまざまなニーズに応えるために自由診療を提供しております。しかし、自由診療には健康保険適用外の治療が含まれるため、以
下の点にご注意ください。

【リスクについて】
自由診療には、保険適用治療に比べて高度かつ専門的な治療が含まれる場合があります。これらの治療はより高い技術を要求されるため、
一般的な治療よりもリスクが高まる可能性があります。

【副作用について】
すべての医療行為には副作用のリスクが伴います。自由診療の場合、使用する材料や治療方法が特殊な場合があるため、通常の治療と
は異なる副作用が発生する可能性があります。

【費用について】
自由診療は健康保険の適用外であるため、保険診療と比較して高額になることがあります。治療前には必ず費用の詳細について説明を行
い、ご同意をいただいてから治療を開始します。

【治療の選択について】
患者様の健康状態や希望に合わせて、最適な治療計画を提案します。自由診療は選択肢の一つであり、必ずしもすべての患者様に適して
いるわけではありません。

【その他の注意事項】
治療後のフォローアップやメンテナンスについても、自由診療の範囲内で行うことがあります。これには追加の費用が発生する場合がありま
す。
患者様一人ひとりに合った治療を心がけております。自由診療を含むすべての治療オプションについて、十分な説明とともに、患者様のご
理解とご同意を得ることを重視しています。ご不明な点やご心配なことがございましたら、遠慮なくご相談ください。
この医院の口コミはまだありません
受付時間
診療時間
09:00 ~ 19:30
休診日:日曜・祝日
アクセスマップ
基本情報
医院名 あすか歯科クリニック
所在地 〒114-0014 東京都 北区 田端1-21-8 NSKビル203
最寄駅 田端駅 北口 徒歩1分
診療内容 歯冠修復、欠損補綴 / 根管治療 / 歯周病治療 / 予防治療 / 小児歯科 / 矯正歯科 / 口腔外科治療 / 有床義歯 / インプラント治療
医院ID 14638
03-3822-8779
Teech(ティーチ)を見たとお伝えください
Feature Teechの特徴
1

あなたの「今の症状に合った」歯科医院が探せます

icons

歯科医院が広告掲載する際、得意な治療1つのみを選択し広告しています。これにより2つのメリットが得られます。

①あなたの今の症状に合った治療を1番得意とする歯科医院のみ検索できます。

②表示される歯科医院の数が絞られるため、今の症状に合った歯科医院を効率よく検索できます。

2

その歯科医院で「本当に治療した患者さんの口コミ」を掲載

icons

歯科検索サイトには、その歯科医院で治療を受けていない方の口コミが散見されますが、Teechへの口コミ投稿には、領収書の添付を必須としているため、本当にその歯科医院で治療した患者さんの口コミが掲載されています。また、口コミ点数・件数によって検索結果が上下しないため(標準検索した場合)、サクラの口コミ投稿の誘因を減らしています。

3

「プロが選ぶプロ」の歯科医院を探せます

icons

掲載している医院に3医院(自医院を除く)までオススメできる機能を付与することで、プロが選ぶプロの歯科医院を探せます。

4

「先生の人柄」が分かるご挨拶動画を設置

icons

外からは見えにくい歯科医院ですが、事前に先生の人柄が伝わるように、院長のご挨拶動画を掲載しております。