【豊田駅 徒歩5分】【土も診療可】一般歯科小児歯科から審美歯科・口腔外科治療まで最新の技術で歯科治療を提供!松原歯科クリニック
松原歯科クリニックは豊田駅から徒歩5分の場所にある子どもからご年配の方まで安心して受診して頂ける歯科クリニックです。土曜日も診療しており、夜の19時まで診療可能な日が用意、待ち時間が少ない予約制で診療を行っています。お子様のいらっしゃる方の為にキッズスペースもご用意しております。駅近ですが、お車でご来院される方のためには駐車場も完備しておりますので安心して診療が受けることができます。
一般歯科小児歯科、矯正歯科やホワイトニングなど幅広く対応、小型のCCDカメラを使いながらお口の状況をわかりやすく丁寧に説明させて頂き、患者様一人ひとりの合わせた治療計画をたてていきます。患者様のご意向などもお聞きしながら納得の上最善の治療方法で治療を進めてまいります。
治療の痛みが苦手で治療の諦めていた人にも是非ご来院いただきたいと思います。歯科治療の痛みを可能な限りなくし、痛みに弱い方には安心の無痛治療を心がけています。表面麻酔を必ず行い痛みを軽減させるために注射針は細いものを使用、麻酔液も体温と同程度のものを使用するなど細心の注意を払っています。
一般歯科小児歯科、矯正歯科やホワイトニングなど幅広く対応、小型のCCDカメラを使いながらお口の状況をわかりやすく丁寧に説明させて頂き、患者様一人ひとりの合わせた治療計画をたてていきます。患者様のご意向などもお聞きしながら納得の上最善の治療方法で治療を進めてまいります。
治療の痛みが苦手で治療の諦めていた人にも是非ご来院いただきたいと思います。歯科治療の痛みを可能な限りなくし、痛みに弱い方には安心の無痛治療を心がけています。表面麻酔を必ず行い痛みを軽減させるために注射針は細いものを使用、麻酔液も体温と同程度のものを使用するなど細心の注意を払っています。
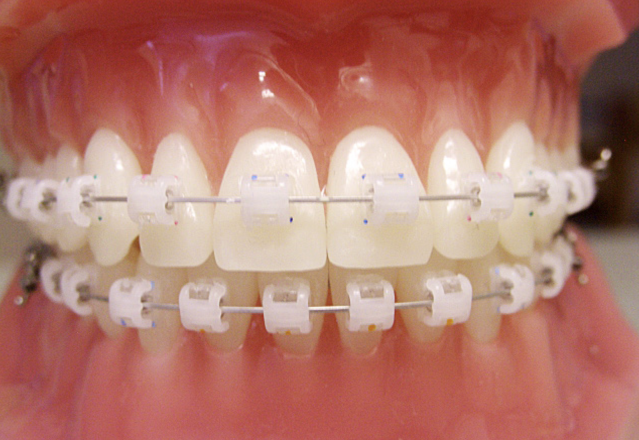
矯正歯科のこだわりポイント

歯の噛み合わせが悪いと物がよく噛めないので唾液ので出も悪く、消化力も弱くなり胃に負担がかかってしまいます。また歯の生え方がデコボコで不揃いだったりするいわゆる八重歯なんかは歯磨きがうまくいかずに口腔内の清潔を保つのが不十分だったりします。
逆に正しい噛み合わせを手に入れると、しっかりと食物を噛むことができて消化もスムーズに行えるというメリットがあり、歯並びを整えることで虫歯もなりにくくなります。見た目の悪さだけでなく身体全体に影響を及ぼしかねないのが歯の噛み合わせの悪さですので、気になる方はお早めに医師にご相談することをおすすめ致します。
松原歯科クリニックではお口の中の状態を確認して治療方法やタイミング、費用などをご相談できる機会を無料で行っていますのでお気軽にご相談ください。また、矯正治療に関しては専門の矯正医と担当の医師がしっかりと連携して治療方針を決定し治療をすすめていくので安心です。
歯の噛み合わせの悪さには様々な種類がありますのでその状態によって治療方法などが異なりますが、大人の場合は顎の大きさが既に完成してるため、子供より矯正の期間が長くなる場合があります。
期間や費用に関してもその人それぞれに異なってきますのでまずはご相談ください。
逆に正しい噛み合わせを手に入れると、しっかりと食物を噛むことができて消化もスムーズに行えるというメリットがあり、歯並びを整えることで虫歯もなりにくくなります。見た目の悪さだけでなく身体全体に影響を及ぼしかねないのが歯の噛み合わせの悪さですので、気になる方はお早めに医師にご相談することをおすすめ致します。
松原歯科クリニックではお口の中の状態を確認して治療方法やタイミング、費用などをご相談できる機会を無料で行っていますのでお気軽にご相談ください。また、矯正治療に関しては専門の矯正医と担当の医師がしっかりと連携して治療方針を決定し治療をすすめていくので安心です。
歯の噛み合わせの悪さには様々な種類がありますのでその状態によって治療方法などが異なりますが、大人の場合は顎の大きさが既に完成してるため、子供より矯正の期間が長くなる場合があります。
期間や費用に関してもその人それぞれに異なってきますのでまずはご相談ください。
医院としての理念・方針

安心の治療
患者様の健康を第一に考え安心して歯科治療を受けて頂けるように常に心がけ環境を整えていきたいと考えます。患者様の治療の際にお口の中に入るものはできる限り使い捨ての物を使用しています。歯科治療に使う機械器具類は化学薬品を使わずに安全を考え水で洗浄した上で、滅菌パックに入れて高圧蒸気滅菌を使用しています。病院内の清潔を保ち感染予防のための対策を徹底しております。
納得の治療
歯科治療にお越しの患者様は痛みや不安を抱えご来院されているので少しでもその不安や恐怖を軽減できるように努めています。治療を行う前にカウンセリングの大切さを重視しており、治療法などご納得頂いた上での治療を進めていきたいと考えます。また、小型CCDカメラなどを使用して目でご自身のお口の状況を見ていただき、患者様には丁寧わかりやすく状況や今後の治療についてご説明をしていきます。患者様一人ひとりに最も適切な治療計画をたて、カウンセリングの中で患者様としっかりとコミュニケーションをとり安心して治療を進めていければと思っております。
患者様の健康を第一に考え安心して歯科治療を受けて頂けるように常に心がけ環境を整えていきたいと考えます。患者様の治療の際にお口の中に入るものはできる限り使い捨ての物を使用しています。歯科治療に使う機械器具類は化学薬品を使わずに安全を考え水で洗浄した上で、滅菌パックに入れて高圧蒸気滅菌を使用しています。病院内の清潔を保ち感染予防のための対策を徹底しております。
納得の治療
歯科治療にお越しの患者様は痛みや不安を抱えご来院されているので少しでもその不安や恐怖を軽減できるように努めています。治療を行う前にカウンセリングの大切さを重視しており、治療法などご納得頂いた上での治療を進めていきたいと考えます。また、小型CCDカメラなどを使用して目でご自身のお口の状況を見ていただき、患者様には丁寧わかりやすく状況や今後の治療についてご説明をしていきます。患者様一人ひとりに最も適切な治療計画をたて、カウンセリングの中で患者様としっかりとコミュニケーションをとり安心して治療を進めていければと思っております。
院長について

松原歯科クリニックでは安心と納得の治療を心がけて治療を行っています。
痛みや不安を抱えご来院される患者様に少しでも不安を軽減できるようにしっかりと患者様のお話を聞かせていただき治療法などのご提案・ご説明をさせていただいております。
また、院内はどなたでも安心して過ごせるようにバリアフリーに努め車椅子でも診察室に入れるようにしておりますので、歯のことで心配事がありましたら是非お気軽にご相談ください。
また、子育て中の方々にもしっかりと歯の治療を行って頂きたくお子様用のキッズスペースなどもご用意、診察室の中にもキッズルームが用意されていますので安心して治療を受けていただくこともできます。
痛みや不安を抱えご来院される患者様に少しでも不安を軽減できるようにしっかりと患者様のお話を聞かせていただき治療法などのご提案・ご説明をさせていただいております。
また、院内はどなたでも安心して過ごせるようにバリアフリーに努め車椅子でも診察室に入れるようにしておりますので、歯のことで心配事がありましたら是非お気軽にご相談ください。
また、子育て中の方々にもしっかりと歯の治療を行って頂きたくお子様用のキッズスペースなどもご用意、診察室の中にもキッズルームが用意されていますので安心して治療を受けていただくこともできます。
虫歯にならない為に定期的な歯のクリーニングなどの予防医療の充実

一般歯科・小児歯科ではお口の中の健康を保つために予防治療を中心とした歯科治療の充実を図っています。虫歯や歯周病にならないためにも定期的な歯のクリーニングなどのメンテナンスを行うことで、いつまでも自分の歯で食べ物を美味しく味わうことができます。
虫歯や歯周病などでご来院されて治療が終了してもその後の定期的な検診で、再度虫歯や歯周病になるリスクを減らすことができます。松原歯科クリニックでは定期的に来院して頂き歯のメンテナンスをおすすめしております。
メンテナンスでは、歯のクリーニングをしながら虫歯のチェックをしたり歯茎の状態を診たり、噛み合わせの調整なども行っています。定期的な歯のチェックをすることで何か病気になる原因が見つかってもすぐに対処することができます。
虫歯がもし見つかっても早期のものであれば歯を削らずに済む場合や歯茎の炎症などもひどくならずに済む場合もありますので、定期的な検診はとても大切!0歳から小学生までのお子様には虫歯の発生と進行を防ぐ働きのあるフッ素を塗ったりもしています。
虫歯や歯周病などでご来院されて治療が終了してもその後の定期的な検診で、再度虫歯や歯周病になるリスクを減らすことができます。松原歯科クリニックでは定期的に来院して頂き歯のメンテナンスをおすすめしております。
メンテナンスでは、歯のクリーニングをしながら虫歯のチェックをしたり歯茎の状態を診たり、噛み合わせの調整なども行っています。定期的な歯のチェックをすることで何か病気になる原因が見つかってもすぐに対処することができます。
虫歯がもし見つかっても早期のものであれば歯を削らずに済む場合や歯茎の炎症などもひどくならずに済む場合もありますので、定期的な検診はとても大切!0歳から小学生までのお子様には虫歯の発生と進行を防ぐ働きのあるフッ素を塗ったりもしています。
歯の黄ばみをとって白い綺麗な歯を手に入れる

松原歯科クリニックのホワイトニングは、歯の黄ばみが気になる人や就職活動や結婚式が近い人など様々な方々がホワイトニングをされていかれます。妊婦さんや授乳中の人などは避けた方が良いですが高校生以上なら松原歯科クリニックではホワイトニングは可能です。
歯を白くするための薬剤は過酸化尿素もしくは過酸化水素という薬品が使用されますが、体には害がありませんので安心してホワイトニング治療を受けて頂けます。
ホワイトニングは歯を削ることなく白い歯にすることができますが、薬剤を歯に染み込ませていくことで歯の内部に浸透し色素を分解してくれます。色素が分解されることで透明感のある白い歯となっていきます。
歯は以下のような時に変色されていきます。
・色素の強い食べのもや飲み物による着色
(コーヒー/赤ワイン/カレーなど)
・年齢を重ねていくことによる歯の黄ばみ
・虫歯や外傷など歯の神経が死んでしまった為
・テトラサイクリン系(抗生物質)を服用したことによる変色
ホワイトニングをするとその効果は、環境により半年から2年ほど保つことができます。ただ、白さを維持するためには定期的にケアすることが必要になってきます。
歯を白くするための薬剤は過酸化尿素もしくは過酸化水素という薬品が使用されますが、体には害がありませんので安心してホワイトニング治療を受けて頂けます。
ホワイトニングは歯を削ることなく白い歯にすることができますが、薬剤を歯に染み込ませていくことで歯の内部に浸透し色素を分解してくれます。色素が分解されることで透明感のある白い歯となっていきます。
歯は以下のような時に変色されていきます。
・色素の強い食べのもや飲み物による着色
(コーヒー/赤ワイン/カレーなど)
・年齢を重ねていくことによる歯の黄ばみ
・虫歯や外傷など歯の神経が死んでしまった為
・テトラサイクリン系(抗生物質)を服用したことによる変色
ホワイトニングをするとその効果は、環境により半年から2年ほど保つことができます。ただ、白さを維持するためには定期的にケアすることが必要になってきます。
歯を失いそのままにすると次の歯まで!きちんと治療しておきたい入れ歯治療

歯は通常は上下あわせて親知らずも含むと32本あります。その中の1本でも虫歯などで歯を失ってしまうと、正常の噛み合わせができずバランスが崩れてしまいます。歯が抜けてしまった状態のまま放置すると、隣の歯が傾いてしまい他の歯まで失う原因となっていまします。
歯を失った時の選択肢は一つではありません。入れ歯を使用したり、ブリッジ・インプラントなどで歯を人工的に作り出して噛み合わせを補ってあげるなどの方法があります。歯の位置や本数などによって最適な治療も異なってきますのでまずはご相談ください。
入れ歯には、保険診療で行えるレジン床義歯など安価なものもありますが、割れやすい素材なので厚みがあtたり劣化しやすいなどのデメリットもあります。また自由診療となってしまい多少金額が高くなってしまうデメリットはありますが、初軽くて薄いので歯に負担がかからない、入れ歯だとわかりにくいノンクラスプ義歯など様々な種類の入れ歯をご用意しております。
歯を失った時の選択肢は一つではありません。入れ歯を使用したり、ブリッジ・インプラントなどで歯を人工的に作り出して噛み合わせを補ってあげるなどの方法があります。歯の位置や本数などによって最適な治療も異なってきますのでまずはご相談ください。
入れ歯には、保険診療で行えるレジン床義歯など安価なものもありますが、割れやすい素材なので厚みがあtたり劣化しやすいなどのデメリットもあります。また自由診療となってしまい多少金額が高くなってしまうデメリットはありますが、初軽くて薄いので歯に負担がかからない、入れ歯だとわかりにくいノンクラスプ義歯など様々な種類の入れ歯をご用意しております。
美しい口元を作るのが審美歯科治療

虫歯などにより歯を削ってしまったなどした場合は、そこに白い歯のつめものや被せものをして治療を行う必要があります。
通常の虫歯や歯周病を治すという治療にプラスして美しく見えるようにする・美しい口元を作るのが審美歯科治療となっています。
美しい口元を手に入れるとお顔の表情までイキイキとして明るくなったという方もいるほどです。被せ物ひとつとっても様々な種類があります。本物の歯のような綺麗で透き通る美しさのセラミックなどのかぶせものは、保険で適用されているものもあれば自由診療として少々値段が高いものも用意されています。
金属アレルギーなどにも対応しているセラミックのかぶせ物や強度のある金属冠にセラミックをもりつけたかぶせ物など種類も様々。見た目の美しさや強度、付け心地などにもより変わってきます。
口元で気になる箇所などがありましたら、どのような治療が好ましいのか、どのような物を使用するのが最適なのかなど審美相談も受け付けておりますのでお気軽にご相談ください。
通常の虫歯や歯周病を治すという治療にプラスして美しく見えるようにする・美しい口元を作るのが審美歯科治療となっています。
美しい口元を手に入れるとお顔の表情までイキイキとして明るくなったという方もいるほどです。被せ物ひとつとっても様々な種類があります。本物の歯のような綺麗で透き通る美しさのセラミックなどのかぶせものは、保険で適用されているものもあれば自由診療として少々値段が高いものも用意されています。
金属アレルギーなどにも対応しているセラミックのかぶせ物や強度のある金属冠にセラミックをもりつけたかぶせ物など種類も様々。見た目の美しさや強度、付け心地などにもより変わってきます。
口元で気になる箇所などがありましたら、どのような治療が好ましいのか、どのような物を使用するのが最適なのかなど審美相談も受け付けておりますのでお気軽にご相談ください。
自由診療のリスク・副作用、その他
自由診療について
患者様のさまざまなニーズに応えるために自由診療を提供しております。しかし、自由診療には健康保険適用外の治療が含まれるため、以
下の点にご注意ください。
【リスクについて】
自由診療には、保険適用治療に比べて高度かつ専門的な治療が含まれる場合があります。これらの治療はより高い技術を要求されるため、
一般的な治療よりもリスクが高まる可能性があります。
【副作用について】
すべての医療行為には副作用のリスクが伴います。自由診療の場合、使用する材料や治療方法が特殊な場合があるため、通常の治療と
は異なる副作用が発生する可能性があります。
【費用について】
自由診療は健康保険の適用外であるため、保険診療と比較して高額になることがあります。治療前には必ず費用の詳細について説明を行
い、ご同意をいただいてから治療を開始します。
【治療の選択について】
患者様の健康状態や希望に合わせて、最適な治療計画を提案します。自由診療は選択肢の一つであり、必ずしもすべての患者様に適して
いるわけではありません。
【その他の注意事項】
治療後のフォローアップやメンテナンスについても、自由診療の範囲内で行うことがあります。これには追加の費用が発生する場合がありま
す。
患者様一人ひとりに合った治療を心がけております。自由診療を含むすべての治療オプションについて、十分な説明とともに、患者様のご
理解とご同意を得ることを重視しています。ご不明な点やご心配なことがございましたら、遠慮なくご相談ください。
患者様のさまざまなニーズに応えるために自由診療を提供しております。しかし、自由診療には健康保険適用外の治療が含まれるため、以
下の点にご注意ください。
【リスクについて】
自由診療には、保険適用治療に比べて高度かつ専門的な治療が含まれる場合があります。これらの治療はより高い技術を要求されるため、
一般的な治療よりもリスクが高まる可能性があります。
【副作用について】
すべての医療行為には副作用のリスクが伴います。自由診療の場合、使用する材料や治療方法が特殊な場合があるため、通常の治療と
は異なる副作用が発生する可能性があります。
【費用について】
自由診療は健康保険の適用外であるため、保険診療と比較して高額になることがあります。治療前には必ず費用の詳細について説明を行
い、ご同意をいただいてから治療を開始します。
【治療の選択について】
患者様の健康状態や希望に合わせて、最適な治療計画を提案します。自由診療は選択肢の一つであり、必ずしもすべての患者様に適して
いるわけではありません。
【その他の注意事項】
治療後のフォローアップやメンテナンスについても、自由診療の範囲内で行うことがあります。これには追加の費用が発生する場合がありま
す。
患者様一人ひとりに合った治療を心がけております。自由診療を含むすべての治療オプションについて、十分な説明とともに、患者様のご
理解とご同意を得ることを重視しています。ご不明な点やご心配なことがございましたら、遠慮なくご相談ください。
この医院の口コミはまだありません
受付時間
診療時間 | 日 | 月 | 火 | 水 | 木 | 金 | 土 |
---|---|---|---|---|---|---|---|
09:00 ~ 12:30 | |||||||
14:00 ~ 19:00 | |||||||
09:00 ~ 12:00 | |||||||
14:00 ~ 18:00 |
休診日:日曜・祝日
アクセスマップ
基本情報
医院名 | 松原歯科クリニック |
所在地 | 〒191-0062 東京都 日野市 多摩平2-13-15 サンコースト1F |
最寄駅 | 豊田駅 北口より 徒歩5分 |
診療内容 | 歯冠修復、欠損補綴 / 根管治療 / 歯周病治療 / 予防治療 / 小児歯科 / 矯正歯科 / 口腔外科治療 / 有床義歯 |
医院ID | 11767 |