【豊田駅 北口より徒歩1分】【矯正歯科学会 認定医在籍】患者様の気持ちを大切に治療する竹内歯科
竹内歯科は、豊田駅 北口より徒歩1分の位置にあり、土曜日も診療を行っている歯科医院です。保険を中心とした一般歯科のほか、審美歯科・矯正歯科・口腔外科・小児歯科・予防歯科・インプラント治療・いびきの治療・ホワイトニングなど幅広い治療を提供しています。ビル入口から竹内歯科内に至るまでバリアフリー仕様とし、足の不自由な方・ 車椅子の方・ベビーカーでも安心して来院できるようにいたしました。診察台は4台、パーティションを設置してプライバシーを配慮した診察台になっています。隣の患者様を気にすることなく、歯やお口のお悩みや不安がありましたら、ご遠慮なくご相談ください。
竹内歯科では、矯正歯科学会認定医による矯正治療を行っています。多種多様な治療方法から、患者様に適した治療法の提案が可能です。歯ならびや顎、口唇のバランスを確認し、患者様と治療法を検討していきたいと考えてます。審美歯科やインプラント治療など、保険内治療だけでは補うことのできない治療にも取り組んでいます。治療に必要な最新の設備を積極的に導入し、確かな技術で高度な歯科医療を提供する歯科医院です。
竹内歯科では、矯正歯科学会認定医による矯正治療を行っています。多種多様な治療方法から、患者様に適した治療法の提案が可能です。歯ならびや顎、口唇のバランスを確認し、患者様と治療法を検討していきたいと考えてます。審美歯科やインプラント治療など、保険内治療だけでは補うことのできない治療にも取り組んでいます。治療に必要な最新の設備を積極的に導入し、確かな技術で高度な歯科医療を提供する歯科医院です。
歯冠修復、欠損補綴のこだわりポイント
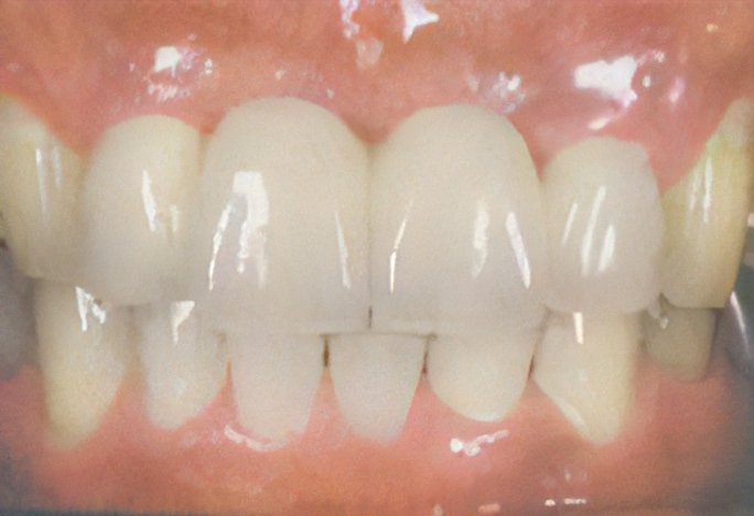
審美歯科
審美歯科では、歯の美しさに焦点を当てた治療を行います。審美面だけでなく、「よく噛める」「よく話せる」機能が向上し、心身の健康を増進させる治療です。お口の噛み合わせが良くなり、ブラッシングもしやすくなります。竹内歯科は最新の審美治療方法をご用意し、患者様のニーズに対応いたします。
白く、美しく補修する被せ物・詰め物の素材は、セラミックやジルコニアなど多種多様です。各素材のメリットとデメリットをふまえ、患者様のライフスタイルやご予算に応じた素材の提案をいたします。
ACGガルバノセラミックは、セラミックと金を高温で結合させた素材です。アレルギーの心配がなく、純金はプラークの沈着を現状させることが報告されています。純金とセラミックの組み合わせは、自然な歯の再現が可能です。光が透過するジルコニアオールセラミックは、自然な透明感と丈夫さを兼ね備えています。
ほかにも、金属を使わない部分入れ歯として注目されているノンクラスプデンチャーや部分入れ歯のバネを強度のある樹脂製にしたホワイトクラスプを提供しています。金具が目立ったり、唇や舌への違和感が気になったりしている方はお気軽にご相談ください。
白く、美しく補修する被せ物・詰め物の素材は、セラミックやジルコニアなど多種多様です。各素材のメリットとデメリットをふまえ、患者様のライフスタイルやご予算に応じた素材の提案をいたします。
ACGガルバノセラミックは、セラミックと金を高温で結合させた素材です。アレルギーの心配がなく、純金はプラークの沈着を現状させることが報告されています。純金とセラミックの組み合わせは、自然な歯の再現が可能です。光が透過するジルコニアオールセラミックは、自然な透明感と丈夫さを兼ね備えています。
ほかにも、金属を使わない部分入れ歯として注目されているノンクラスプデンチャーや部分入れ歯のバネを強度のある樹脂製にしたホワイトクラスプを提供しています。金具が目立ったり、唇や舌への違和感が気になったりしている方はお気軽にご相談ください。
医院としての理念・方針
ラバーダム防湿法
・私たちスタッフ一同は、みなさまのお口の健康をサポートし、患者様お一人おひとりのお気持ちを大切にいたします。ご要望やご不安に寄り添い、治療方針や治療内容は患者様と相談しながら進めます。どのような疑問にもわかりやすくお答えし、患者様に納得していただいて、診療するのが基本です。
・お口の健康は、全身の健康にも影響する要素です。竹内歯科は歯科に特化した最新設備を導入し、高品質な治療を行います。地域の皆様が健康で充実した生活を送るための確かな歯科治療を提供いたします。
・院内感染対策に積極的に取り組む歯科医院です。お口に入る歯科医療器具に消毒・滅菌を施し、切削時の粉塵は大型のバキュームで屋外に排出しています。歯の神経の治療では、ラバーダム防湿法を採用し、歯の神経の感染にも配慮しています。
・お口の健康は、全身の健康にも影響する要素です。竹内歯科は歯科に特化した最新設備を導入し、高品質な治療を行います。地域の皆様が健康で充実した生活を送るための確かな歯科治療を提供いたします。
・院内感染対策に積極的に取り組む歯科医院です。お口に入る歯科医療器具に消毒・滅菌を施し、切削時の粉塵は大型のバキュームで屋外に排出しています。歯の神経の治療では、ラバーダム防湿法を採用し、歯の神経の感染にも配慮しています。
院長について
▽略歴
昭和32年生松本歯科大学卒業、歯科保存学第二講座入局
大手町歯科勤務。富士電機東京工場健康管理センター歯科室勤務後
平成6年竹内歯科開設
昭和32年生松本歯科大学卒業、歯科保存学第二講座入局
大手町歯科勤務。富士電機東京工場健康管理センター歯科室勤務後
平成6年竹内歯科開設
矯正歯科:個々の患者様に適した治療法
診療台
矯正治療を希望する患者様は、歯並びの悪さのお悩みをお持ちの方が大半です。矯正治療を受けて、歯並びや噛み合わせを改善すると健康面で多くのメリットがあります。竹内歯科の矯正歯科で治療を行うのは、矯正歯科学会認定医です。矯正治療に必要な正確な診断と治療目標の設定、お一人おひとりの患者様に合う治療計画を提示いたします。治療方法・治療に要する期間・費用などは、詳しくお話しますのでご安心ください。
お子様の矯正では顎の成長をコントロールし、バランスのとれた嚙み合わせになるように改善します。お子様のお口の状態、性格や生活環境にも考慮して小児矯正を始めるタイミングを考え、治療計画を作成します。矯正治療は長期間の治療を必要とするケースが多いので、お子様自身の意思やご家族の思いが大切です。一方、部分的な矯正治療では数ヶ月で終了する方もいらっしゃいます。
竹内歯科ではクリアーブラケットの矯正装置を使用しています。透明で目立ちにくく、痛みの少ない矯正装置です。小児矯正の一期治療では、取り外しのできる装置を使うケースもあります。
お子様の矯正では顎の成長をコントロールし、バランスのとれた嚙み合わせになるように改善します。お子様のお口の状態、性格や生活環境にも考慮して小児矯正を始めるタイミングを考え、治療計画を作成します。矯正治療は長期間の治療を必要とするケースが多いので、お子様自身の意思やご家族の思いが大切です。一方、部分的な矯正治療では数ヶ月で終了する方もいらっしゃいます。
竹内歯科ではクリアーブラケットの矯正装置を使用しています。透明で目立ちにくく、痛みの少ない矯正装置です。小児矯正の一期治療では、取り外しのできる装置を使うケースもあります。
インプラント治療:噛む喜びを取り戻す治療
HAインプラント
インプラント治療は、自然歯と遜色ない見た目と噛む力を取り戻す治療法です。あごの骨に人工歯根を埋め込み、その上に人工歯を装着します。ブリッジのように健康な隣の歯を削ったり、痛めたりせず、入れ歯のような異物感もありません。
竹内歯科では、安全性と耐久性に優れたHAインプラントを主に使用しています。インプラント表面にコーティングした結晶状のHA(ハイドロキシアパタイト)により、インプラントと骨の結合が早くなります。
外科処置を必要とするインプラント治療では、お口の状態の正しい診査と診断が重要です。竹内歯科では、必要に応じてインプラント用3次元CT解析装置を使用します。あごの骨の状態や神経の位置などを診断し、バーチャル手術をシミュレーションを行って患者様にわかりやすくお口の状態を説明いたします。ご不安や疑問があれば、遠慮なくお話しください。
骨の中にインプラントを埋め込む手術後は、数か月間ほど骨とインプラントが結合するのを待って人工の被せ物を入れる流れとなります。竹内歯科では、抜歯とインプラント埋入を同日に行う抜歯即時インプラントも可能です。
竹内歯科では、安全性と耐久性に優れたHAインプラントを主に使用しています。インプラント表面にコーティングした結晶状のHA(ハイドロキシアパタイト)により、インプラントと骨の結合が早くなります。
外科処置を必要とするインプラント治療では、お口の状態の正しい診査と診断が重要です。竹内歯科では、必要に応じてインプラント用3次元CT解析装置を使用します。あごの骨の状態や神経の位置などを診断し、バーチャル手術をシミュレーションを行って患者様にわかりやすくお口の状態を説明いたします。ご不安や疑問があれば、遠慮なくお話しください。
骨の中にインプラントを埋め込む手術後は、数か月間ほど骨とインプラントが結合するのを待って人工の被せ物を入れる流れとなります。竹内歯科では、抜歯とインプラント埋入を同日に行う抜歯即時インプラントも可能です。
歯周病治療:お薬による歯周病治療法
位相差顕微鏡検査
歯周病治療は、原因となっている細菌の除去、歯石除去とクリーニングが基本です。竹内歯科では位相差顕微鏡で、ご自身のお口の中にいる歯周病菌の動きを見ていただくことができます。現在の菌の状態を確認し、必要に応じて細菌やカビを除去する薬を内服する治療を行います。お口の中には常に細菌があり、全滅させることはできません。定期的に歯科医院に通い、お口の中の細菌を顕微鏡で確認しましょう。その際、歯周病菌やカビが増えすぎないように歯石や汚れを除去するクリーニングを行うと効果的です。
歯周病は、全身疾患にも大きく影響することが分かっている病気です。糖尿病の悪化や高血圧・心臓疾患の発症リスクを高めるとされています。歯周病は、歯を失わずに済む初期の段階での発見と治療が重要になります。しかし、歯周病の初期の段階で自覚症状のある方はほとんどいません。だからこそ、歯科医院での定期検診、できれば顕微鏡を用いた定期検診が必要なのです。歯茎から血が出たり、歯が動いたりするなど違和感を感じたら、できるだけ早くご相談ください。
歯周病は、全身疾患にも大きく影響することが分かっている病気です。糖尿病の悪化や高血圧・心臓疾患の発症リスクを高めるとされています。歯周病は、歯を失わずに済む初期の段階での発見と治療が重要になります。しかし、歯周病の初期の段階で自覚症状のある方はほとんどいません。だからこそ、歯科医院での定期検診、できれば顕微鏡を用いた定期検診が必要なのです。歯茎から血が出たり、歯が動いたりするなど違和感を感じたら、できるだけ早くご相談ください。
いびき・睡眠時無呼吸症候群の治療:スリープ・スプリントのよる治療
いびき防止装置
睡眠中にいびきをかき、一時的に呼吸が止まってしまう病気が睡眠時無呼吸症候群です。眠りが浅く、日中の眠気を感じて仕事の効率が低下する方も少なくありません。長期にわたる睡眠時無呼吸症候群は、高血圧や不整脈・心筋梗塞・糖尿病などのリスクを高めます。
睡眠時無呼吸症候群は、睡眠中に舌や軟口蓋がゆるみ、気道が閉塞した状態です。気道が狭くなる要因はさまざまですが、重力や舌の筋肉がゆるみにより、舌が沈んで気道を塞いでいる場合もあります。首周りの脂肪が気道を圧迫している患者様は、減量が効果的です。
主な治療法にはスリープ・スプリント・CPAP・扁桃腺や軟口蓋の肥大した部分を外科的に切除する方法などがあります。竹内歯科で提供している治療法は、いびき防止装置「サイレンサー」を装着するスリープ・スプリント治療です。就寝時にサイレンサーを口に入れて、下顎を少し前方に突き出すようにします。気道を広げて、いびきや無呼吸を軽減する仕組みです。いびきを習慣的にかいている方、日中の眠気や起床時の頭痛、夜間の頻尿などにお悩みの方はお気軽にご相談ください。
睡眠時無呼吸症候群は、睡眠中に舌や軟口蓋がゆるみ、気道が閉塞した状態です。気道が狭くなる要因はさまざまですが、重力や舌の筋肉がゆるみにより、舌が沈んで気道を塞いでいる場合もあります。首周りの脂肪が気道を圧迫している患者様は、減量が効果的です。
主な治療法にはスリープ・スプリント・CPAP・扁桃腺や軟口蓋の肥大した部分を外科的に切除する方法などがあります。竹内歯科で提供している治療法は、いびき防止装置「サイレンサー」を装着するスリープ・スプリント治療です。就寝時にサイレンサーを口に入れて、下顎を少し前方に突き出すようにします。気道を広げて、いびきや無呼吸を軽減する仕組みです。いびきを習慣的にかいている方、日中の眠気や起床時の頭痛、夜間の頻尿などにお悩みの方はお気軽にご相談ください。
自由診療のリスク・副作用、その他
自由診療について
患者様のさまざまなニーズに応えるために自由診療を提供しております。しかし、自由診療には健康保険適用外の治療が含まれるため、以下の点にご注意ください。
【リスクについて】
自由診療には、保険適用治療に比べて高度かつ専門的な治療が含まれる場合があります。これらの治療はより高い技術を要求されるため、一般的な治療よりもリスクが高まる可能性があります。
【副作用について】
すべての医療行為には副作用のリスクが伴います。自由診療の場合、使用する材料や治療方法が特殊な場合があるため、通常の治療とは異なる副作用が発生する可能性があります。
【費用について】
自由診療は健康保険の適用外であるため、保険診療と比較して高額になることがあります。治療前には必ず費用の詳細について説明を行い、ご同意をいただいてから治療を開始します。
【治療の選択について】
患者様の健康状態や希望に合わせて、最適な治療計画を提案します。自由診療は選択肢の一つであり、必ずしもすべての患者様に適しているわけではありません。
【その他の注意事項】
治療後のフォローアップやメンテナンスについても、自由診療の範囲内で行うことがあります。これには追加の費用が発生する場合があります。
患者様一人ひとりに合った治療を心がけております。自由診療を含むすべての治療オプションについて、十分な説明とともに、患者様のご理解とご同意を得ることを重視しています。ご不明な点やご心配なことがございましたら、遠慮なくご相談ください。
患者様のさまざまなニーズに応えるために自由診療を提供しております。しかし、自由診療には健康保険適用外の治療が含まれるため、以下の点にご注意ください。
【リスクについて】
自由診療には、保険適用治療に比べて高度かつ専門的な治療が含まれる場合があります。これらの治療はより高い技術を要求されるため、一般的な治療よりもリスクが高まる可能性があります。
【副作用について】
すべての医療行為には副作用のリスクが伴います。自由診療の場合、使用する材料や治療方法が特殊な場合があるため、通常の治療とは異なる副作用が発生する可能性があります。
【費用について】
自由診療は健康保険の適用外であるため、保険診療と比較して高額になることがあります。治療前には必ず費用の詳細について説明を行い、ご同意をいただいてから治療を開始します。
【治療の選択について】
患者様の健康状態や希望に合わせて、最適な治療計画を提案します。自由診療は選択肢の一つであり、必ずしもすべての患者様に適しているわけではありません。
【その他の注意事項】
治療後のフォローアップやメンテナンスについても、自由診療の範囲内で行うことがあります。これには追加の費用が発生する場合があります。
患者様一人ひとりに合った治療を心がけております。自由診療を含むすべての治療オプションについて、十分な説明とともに、患者様のご理解とご同意を得ることを重視しています。ご不明な点やご心配なことがございましたら、遠慮なくご相談ください。
この医院の口コミはまだありません
受付時間
| 診療時間 | 日 | 月 | 火 | 水 | 木 | 金 | 土 |
|---|---|---|---|---|---|---|---|
| 10:01 ~ 13:30 | |||||||
| 14:30 ~ 20:00 |
休診日:日曜
アクセスマップ
基本情報
| 医院名 | 竹内歯科 |
| 所在地 | 〒191-0062 東京都 日野市 多摩平1-2-2 アムーザ2F |
| 最寄駅 | 豊田駅 北口より徒歩1分 |
| ホームページ | http://www.takeuchi-sika.jp/ |
| 診療内容 | 歯冠修復、欠損補綴 / 根管治療 / 歯周病治療 / 予防治療 / 小児歯科 / 矯正歯科 / 口腔外科治療 / 有床義歯 / インプラント治療 |
| 医院ID | 11760 |