【江北駅 東口 徒歩約5分】患者様の歯を守る 医療法人社団誠友会 セイユーデンタルクリニック
セイユーデンタルクリニックは、1982年に東京都江東区にて開業した歯科クリニックです。最寄り駅は江北駅で、東口より徒歩5分の場所に位置しています。診療時間は、平日に加え、土曜日も診療していますので、お仕事のご都合に合わせてご来院いただけます。休診日は、日曜・祝日となっています。診療内容は、虫歯治療、歯の根の治療、咬み合わせ治療、インプラント治療、入れ歯治療、歯の移植まで幅広い治療を提供しています。
院内に関しましては、待合室は緑を設置し温もりのある環境をご用意しています。また、診療室に関しましては、半個室や完全個室タイプの診療室も用意しております。キッズスペースもありますので、お子様連れでのご来院もご安心ください。
医療法人社団誠友会 セイユーデンタルクリニックでは、1本の歯のみを治療するのではなく、お口全体のことを考え治療を行うことを心がけております。歯が悪くなった根本の原因を突き止め、再度同じ状態にならないように、治療を行ってまいります。お口に関することで何かお悩みやご質問などありましたらお気軽にご相談ください。
院内に関しましては、待合室は緑を設置し温もりのある環境をご用意しています。また、診療室に関しましては、半個室や完全個室タイプの診療室も用意しております。キッズスペースもありますので、お子様連れでのご来院もご安心ください。
医療法人社団誠友会 セイユーデンタルクリニックでは、1本の歯のみを治療するのではなく、お口全体のことを考え治療を行うことを心がけております。歯が悪くなった根本の原因を突き止め、再度同じ状態にならないように、治療を行ってまいります。お口に関することで何かお悩みやご質問などありましたらお気軽にご相談ください。
予防治療のこだわりポイント
虫歯治療
医療法人社団誠友会 セイユーデンタルクリニックでの虫歯治療は大きく分けて、ダイレクトボンディング、一部被覆冠修復、全部歯冠修復の3種類があります。
・ダイレクトボンディング
ダイレクトボンディングとは、歯科用ハイブリッドレジン(セラミックとプラスチックを混合したもの)を直接歯に盛り足し、歯の形態や色を直接修復する方法です。
この方法では、汚れてしまった部分のみ削るので健康な歯を極力残すことができます。
・一部被覆冠修復
歯の頭部分を大きく失ってしまった場合の治療内容になります。汚れてしまった箇所を綺麗に処置した後、歯型をとり失われた歯の形を作成します。可能であれば、できる限り組織を残し、活用できる方法で処置します。
・全部歯冠修復
特に前歯に穴が開いてしまったままでは、その人の印象はガラッと変わります。全部歯冠修復では歯冠全体を被覆する金属冠(クラウン)を用いて、大きな欠損を修復します。
虫歯は初期段階では自覚症状が無いためなかなか気が付きにくい病気です。違和感を感じたら早めにクリニックへ来院しましょう。
・ダイレクトボンディング
ダイレクトボンディングとは、歯科用ハイブリッドレジン(セラミックとプラスチックを混合したもの)を直接歯に盛り足し、歯の形態や色を直接修復する方法です。
この方法では、汚れてしまった部分のみ削るので健康な歯を極力残すことができます。
・一部被覆冠修復
歯の頭部分を大きく失ってしまった場合の治療内容になります。汚れてしまった箇所を綺麗に処置した後、歯型をとり失われた歯の形を作成します。可能であれば、できる限り組織を残し、活用できる方法で処置します。
・全部歯冠修復
特に前歯に穴が開いてしまったままでは、その人の印象はガラッと変わります。全部歯冠修復では歯冠全体を被覆する金属冠(クラウン)を用いて、大きな欠損を修復します。
虫歯は初期段階では自覚症状が無いためなかなか気が付きにくい病気です。違和感を感じたら早めにクリニックへ来院しましょう。
医院としての理念・方針
理念・方針
医療法人社団誠友会 セイユーデンタルクリニックでは、悪くなった歯のみ治すのではなくお口全体の健康を考え治療を行うことを大切にしています。通常、大人の歯は28本あります。その中の1本が痛くなった場合、その歯のみ治せば、お口全体は健康になったと言えるでしょうか。口は1つです。1つの口の中に存在する以上、1本の歯に問題を起こした原因はその口の中にあります。そのため、お口の中の根本的な問題を解決しないと、今度は他の歯に問題が起こる可能性が高いです。実際に、「治療をしたら、他の歯まで悪くなった」という声も多々耳にします。根本原因をつきとめ、これ以上お口の中に問題が起きないように治療していくのがわたしたちの役目であると考えています。ぜひ医療法人社団誠友会 セイユーデンタルクリニックと一緒に健康的な口腔環境を目指していきましょう。
院長について
▽略歴
1942年 生まれ
1969年 東京医科歯科大学卒
同大学 補綴学教室
1970年 大田歯科医院 開設
1982年 セイユーデンタルクリニック 開設
1942年 生まれ
1969年 東京医科歯科大学卒
同大学 補綴学教室
1970年 大田歯科医院 開設
1982年 セイユーデンタルクリニック 開設
虫歯や歯周病が進行した場合には歯の根の治療を行います
歯の根の治療
虫歯や歯周病が進行してしまった場合、原因菌は歯の中の神経を攻撃します。この段階になると強い痛みを感じるようになります。つまり、歯が痛くなった段階は、かなり症状が進行していることを意味します。このような状態になってしまった場合には、歯の神経に侵入した原因菌を取り除く必要があります。この治療法を、抜髄と言います。しかしながら、一度取り除かれてしまった神経は二度と元に戻りません。そのため、詳細な検査と診断が必要になります。場合によっては、神経を温存させることも可能ですが、残念ながら神経を取り除かなければいけない場合は、無菌的な処理をしっかりと施し、その後細菌の感染が起こらないようにしっかりとその隙間を封鎖します。医療法人社団誠友会 セイユーデンタルクリニックでは、拡大鏡を使用し、複雑な形をしている根の管の中を出来るだけ少ない治療回数の中で処理することで、再びその根がご自身の歯として機能するように心がけた治療を行っています。
インプラント治療で本物の歯のような噛み心地を
インプラント治療
インプラント治療とは、歯周病などで歯を失った場合、その部分の顎の骨にチタンという金属でできたインプラント(人工歯根)を埋め込み、その上にセラミック(陶材)製の人工歯を装着する治療法であり、インプラントと顎の骨が強く結合して固定されるため、本当の歯のようにしっかり噛むことができます。また、見た目も本当の歯のような見た目を持つことができます。このようにインプラントは機能性と審美性2つを兼ね備えることができます。また失った歯が1本から歯が全くない場合まで。さまざまな状態への対応が可能です。
インプラントの主なメリットとしては、入れ歯のような違和感がなく天然歯のように噛むことができる、ブリッジのように健康な歯を削る必要がない、セルフケアを怠らず歯科医院でメンテナンスを受けていれば長時間使用できるといった点があります。
またデメリットとしては、顎の骨に埋め込むため外科手術が必要となる、自費診療となるため治療費が高額となるといった点があります。
インプラントの主なメリットとしては、入れ歯のような違和感がなく天然歯のように噛むことができる、ブリッジのように健康な歯を削る必要がない、セルフケアを怠らず歯科医院でメンテナンスを受けていれば長時間使用できるといった点があります。
またデメリットとしては、顎の骨に埋め込むため外科手術が必要となる、自費診療となるため治療費が高額となるといった点があります。
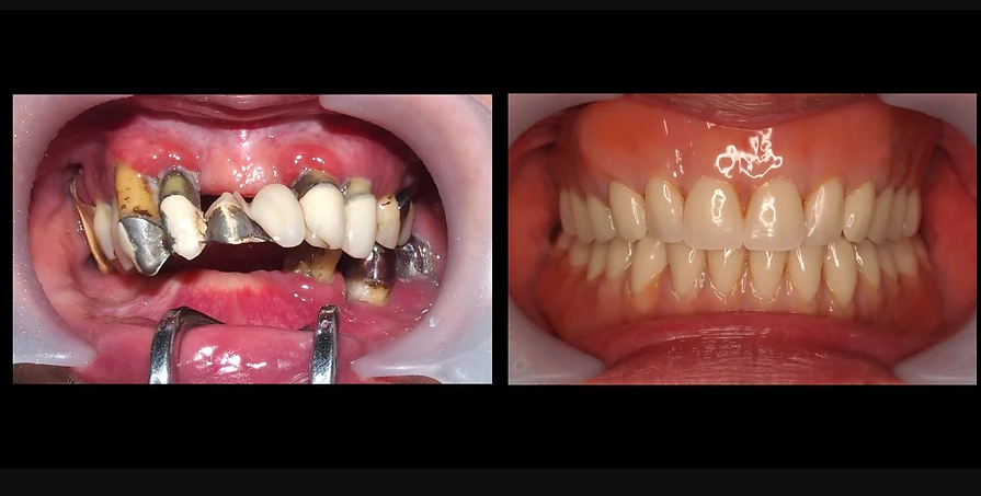
顎の骨が少ない方でも義歯の作成は可能です
有床義歯治療
歯を失ってしまうと、食べ物を噛むことができなくなってしまいます。噛むことができなく、飲み込むような食事は胃腸にも負担をかけてしまいます。そうならないためにも歯の代わりになるものが入れ歯(義歯)になります。時間をかけて精査し、精密に制作・調整された義歯は、お口の中でも違和感なく使用することができます。
入れ歯は顎で支えられています。また、通常の入れ歯の場合、骨の上の粘膜で入れ歯にかかる力を受け止めています。しかしながら、歯を失う最大の原因である歯周病は、顎の骨を脆くしてしまう病気です。そのため、歯周病で歯を失った方は、義歯を支える顎のボリュームが少ないことが多く、義歯を安定させることが難しくなります。その様な方に最適な治療方法がインプラントオーバーデンチャーになります。この治療方法では、数本のインプラントを用いて義歯を安定させます。
義歯に関してお悩みの方は、お気軽にご相談ください。
入れ歯は顎で支えられています。また、通常の入れ歯の場合、骨の上の粘膜で入れ歯にかかる力を受け止めています。しかしながら、歯を失う最大の原因である歯周病は、顎の骨を脆くしてしまう病気です。そのため、歯周病で歯を失った方は、義歯を支える顎のボリュームが少ないことが多く、義歯を安定させることが難しくなります。その様な方に最適な治療方法がインプラントオーバーデンチャーになります。この治療方法では、数本のインプラントを用いて義歯を安定させます。
義歯に関してお悩みの方は、お気軽にご相談ください。
咬み合わせは全身の健康に繋がります
咬み合わせ治療
大人の口の中には合計28本の歯があります。1本でも失うと、全体のバランスが何らかの不具合を生じる原因となります。歯並びが良かったとしても、咬み合わせのバランスが悪いと食べ物を噛む、発音することが上手にできなくなり、顎のバランスを整える、顔の輪郭のバランス、全身の平衡感覚を保つことが難しくなります。しかしながら、残念ながら何らかの原因で歯を失ってしまった場合、歯を全身の中の大切な器官と考えて治療することが大切です。歯が揃った環境を整えることで、正しい機能を取り戻し、見た目も綺麗にすることができます。また、自然と歯並びも良くなります。
咬み合わせはとても繊細です。口の中に髪の毛が1本入っただけで人は違和感を感じます。そのため、詰め物や被せ物の高さが少し高いだけでも痛みや違和感に繋がります。そのため咬合を調整する際には繊細な技術と経験・噛み合わせについてよく理解しているかが大切になります。医療法人社団誠友会 セイユーデンタルクリニックでは、患者様一人一人に最適な治療方法をご提案いたします。咬み合わせにお悩みを抱えている方がいらっしゃいましたらお気軽にご相談ください。
咬み合わせはとても繊細です。口の中に髪の毛が1本入っただけで人は違和感を感じます。そのため、詰め物や被せ物の高さが少し高いだけでも痛みや違和感に繋がります。そのため咬合を調整する際には繊細な技術と経験・噛み合わせについてよく理解しているかが大切になります。医療法人社団誠友会 セイユーデンタルクリニックでは、患者様一人一人に最適な治療方法をご提案いたします。咬み合わせにお悩みを抱えている方がいらっしゃいましたらお気軽にご相談ください。
自由診療のリスク・副作用、その他
■自由診療のリスク、副作用、その他
自由診療について
患者様のさまざまなニーズに応えるために自由診療を提供しております。しかし、自由診療には健康保険適用外の治療が含まれるため、以下の点にご注意ください。
【リスクについて】
自由診療には、保険適用治療に比べて高度かつ専門的な治療が含まれる場合があります。これらの治療はより高い技術を要求されるため、一般的な治療よりもリスクが高まる可能性があります。
【副作用について】
すべての医療行為には副作用のリスクが伴います。自由診療の場合、使用する材料や治療方法が特殊な場合があるため、通常の治療とは異なる副作用が発生する可能性があります。
【費用について】
自由診療は健康保険の適用外であるため、保険診療と比較して高額になることがあります。治療前には必ず費用の詳細について説明を行い、ご同意をいただいてから治療を開始します。
【治療の選択について】
患者様の健康状態や希望に合わせて、最適な治療計画を提案します。自由診療は選択肢の一つであり、必ずしもすべての患者様に適しているわけではありません。
【その他の注意事項】
治療後のフォローアップやメンテナンスについても、自由診療の範囲内で行うことがあります。これには追加の費用が発生する場合があります。
患者様一人ひとりに合った治療を心がけております。自由診療を含むすべての治療オプションについて、十分な説明とともに、患者様のご理解とご同意を得ることを重視しています。ご不明な点やご心配なことがございましたら、遠慮なくご相談ください。
自由診療について
患者様のさまざまなニーズに応えるために自由診療を提供しております。しかし、自由診療には健康保険適用外の治療が含まれるため、以下の点にご注意ください。
【リスクについて】
自由診療には、保険適用治療に比べて高度かつ専門的な治療が含まれる場合があります。これらの治療はより高い技術を要求されるため、一般的な治療よりもリスクが高まる可能性があります。
【副作用について】
すべての医療行為には副作用のリスクが伴います。自由診療の場合、使用する材料や治療方法が特殊な場合があるため、通常の治療とは異なる副作用が発生する可能性があります。
【費用について】
自由診療は健康保険の適用外であるため、保険診療と比較して高額になることがあります。治療前には必ず費用の詳細について説明を行い、ご同意をいただいてから治療を開始します。
【治療の選択について】
患者様の健康状態や希望に合わせて、最適な治療計画を提案します。自由診療は選択肢の一つであり、必ずしもすべての患者様に適しているわけではありません。
【その他の注意事項】
治療後のフォローアップやメンテナンスについても、自由診療の範囲内で行うことがあります。これには追加の費用が発生する場合があります。
患者様一人ひとりに合った治療を心がけております。自由診療を含むすべての治療オプションについて、十分な説明とともに、患者様のご理解とご同意を得ることを重視しています。ご不明な点やご心配なことがございましたら、遠慮なくご相談ください。
この医院の口コミはまだありません
受付時間
| 診療時間 | 日 | 月 | 火 | 水 | 木 | 金 | 土 |
|---|---|---|---|---|---|---|---|
| 09:30 ~ 12:00 | |||||||
| 14:00 ~ 18:30 |
休診日:日曜・祝日
アクセスマップ
基本情報
| 医院名 | 医療法人社団誠友会 セイユーデンタルクリニック |
| 所在地 | 〒123-0873 東京都 足立区 扇3-25-4 |
| 最寄駅 | 江北駅 東口 徒歩約5分 |
| 診療内容 | 歯冠修復、欠損補綴 / 根管治療 / 歯周病治療 / 予防治療 / 小児歯科 / 口腔外科治療 / 有床義歯 / インプラント治療 / 咬み合わせ治療 |
| 医院ID | 11261 |