【東京メトロ千駄木駅 徒歩3分】【女性スタッフ中心で安心】【インビザライン認定歯科医在籍】予防歯科から最先端の矯正治療まで幅広いケアを提供するゆりの木歯科医院
ゆりの木歯科医院は、東京メトロ千駄木駅2番出口から徒歩3分、JR西日暮里駅および日暮里駅から徒歩7分と、アクセスが非常に便利な歯科クリニックです。診療時間は平日および土曜日の9:00~12:30と14:00~17:30で、土曜日も診療を行っているため、平日にお時間が取れない患者様も通いやすい環境です。木曜・日曜・祝日は休診日となっていますので、事前にご確認ください。
ゆりの木歯科医院の特徴の一つは、予防治療に力を入れている点です。患者様が一生涯自分の歯で過ごせるよう、「ポイックウォーター」や「エコシステム」を活用した独自の予防ケアを提供しています。さらに、歯科除菌水を使用した治療を通じて、菌血症の予防や治癒を促進し、全身の健康をサポートしています。お子様から高齢の方まで、全ての患者様が安心して治療を受けられるよう、細部まで配慮されたケアを行っています。
もう一つの強みは、最新の設備と技術を活用した矯正治療です。特にインビザラインなどのマウスピース型矯正に対応しており、3Dシミュレーションを使って精密な治療計画を立案します。これにより、治療期間を短縮しながらも快適な矯正を実現しています。歯並びを整えることで、健康面だけでなく、美しい笑顔の実現もサポートしています。
ゆりの木歯科医院は、患者様一人ひとりのライフスタイルに合わせた治療を心がけ、口腔内の健康から全身の美しさへとつながるケアを提供しています。
ゆりの木歯科医院の特徴の一つは、予防治療に力を入れている点です。患者様が一生涯自分の歯で過ごせるよう、「ポイックウォーター」や「エコシステム」を活用した独自の予防ケアを提供しています。さらに、歯科除菌水を使用した治療を通じて、菌血症の予防や治癒を促進し、全身の健康をサポートしています。お子様から高齢の方まで、全ての患者様が安心して治療を受けられるよう、細部まで配慮されたケアを行っています。
もう一つの強みは、最新の設備と技術を活用した矯正治療です。特にインビザラインなどのマウスピース型矯正に対応しており、3Dシミュレーションを使って精密な治療計画を立案します。これにより、治療期間を短縮しながらも快適な矯正を実現しています。歯並びを整えることで、健康面だけでなく、美しい笑顔の実現もサポートしています。
ゆりの木歯科医院は、患者様一人ひとりのライフスタイルに合わせた治療を心がけ、口腔内の健康から全身の美しさへとつながるケアを提供しています。
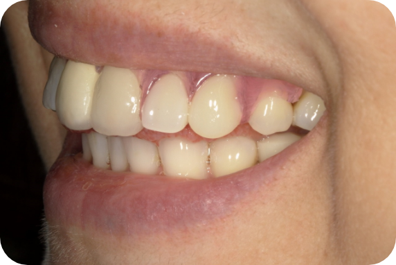
矯正歯科のこだわりポイント
マウスピース矯正(インビザライン・ファースト )
ゆりの木歯科医院では、矯正歯科治療に特化した高度なケアを提供しています。歯並びや噛み合わせの問題は、見た目だけでなく、発音や食事、口腔内の健康全般に影響を及ぼすことがあります。そのため、早期の相談と適切な治療が重要です。ゆりの木歯科医院では、最先端の技術と設備を活用して、患者様一人ひとりに最適な矯正治療を提案しております。
ゆりの木歯科医院が特に力を入れているのは、透明なマウスピース型矯正「インビザライン」です。この治療法は、目立ちにくい矯正装置を使用するため、見た目を気にせずに治療を進めることができます。また、取り外しが可能なので、食事や歯磨きが通常通り行え、従来の固定式矯正装置に比べて生活の質を保ちながら治療を受けられるのが特徴です。
インビザライン治療では、専用の3Dスキャナーを使用して、患者様の口腔内を正確にデジタルデータ化します。このデータをもとに、治療計画を立案し、治療の進行をシミュレーションすることで、患者様は治療の全貌を事前に把握することが可能です。これにより、治療の不安を軽減し、効果的かつ効率的に歯並びを改善します。
さらに、小児矯正にも対応しており、成長期のお子様に適した矯正治療を提供しています。早期の矯正は、将来的な複雑な治療を回避するだけでなく、正常な歯列や噛み合わせを促進します。
ゆりの木歯科医院では、矯正治療を通じて患者様が自信を持って笑顔を見せられるよう、丁寧なサポートを心がけています。
ゆりの木歯科医院が特に力を入れているのは、透明なマウスピース型矯正「インビザライン」です。この治療法は、目立ちにくい矯正装置を使用するため、見た目を気にせずに治療を進めることができます。また、取り外しが可能なので、食事や歯磨きが通常通り行え、従来の固定式矯正装置に比べて生活の質を保ちながら治療を受けられるのが特徴です。
インビザライン治療では、専用の3Dスキャナーを使用して、患者様の口腔内を正確にデジタルデータ化します。このデータをもとに、治療計画を立案し、治療の進行をシミュレーションすることで、患者様は治療の全貌を事前に把握することが可能です。これにより、治療の不安を軽減し、効果的かつ効率的に歯並びを改善します。
さらに、小児矯正にも対応しており、成長期のお子様に適した矯正治療を提供しています。早期の矯正は、将来的な複雑な治療を回避するだけでなく、正常な歯列や噛み合わせを促進します。
ゆりの木歯科医院では、矯正治療を通じて患者様が自信を持って笑顔を見せられるよう、丁寧なサポートを心がけています。
医院としての理念・方針
ゆりの木歯科医院スタッフ
私たち、ゆりの木歯科医院は、「世界一安心安全な医療」を目指し、患者様一人ひとりの健康を支えることを理念としています。口腔の健康は全身の健康につながると考え、私たちは歯科治療を単なる口内のケアに留めることなく、全身の健康美をサポートすることを目指しています。患者様が心身ともに健康で充実した日々を過ごせるようお手伝いをすることが、私たちの使命です。
また、ゆりの木歯科医院は特に女性の患者様に寄り添ったケアを大切にしております。スタッフは全員女性で構成されており、女性特有の健康課題やライフスタイルに配慮した治療とサポートを提供しています。そのため、月経や妊娠、出産、更年期など、女性の体に起こる変化に合わせた歯科治療を行う体制を整えています。
患者様がリラックスできる環境作りにも力を入れており、天然素材を使用した院内空間やアロマの香りなど、五感で安心を感じていただける工夫を取り入れました。私たちは、皆様が気軽に通える歯科医院であり続けるために、日々努力を重ねています。ぜひ、健康と美しさのサポートをご体験ください。
また、ゆりの木歯科医院は特に女性の患者様に寄り添ったケアを大切にしております。スタッフは全員女性で構成されており、女性特有の健康課題やライフスタイルに配慮した治療とサポートを提供しています。そのため、月経や妊娠、出産、更年期など、女性の体に起こる変化に合わせた歯科治療を行う体制を整えています。
患者様がリラックスできる環境作りにも力を入れており、天然素材を使用した院内空間やアロマの香りなど、五感で安心を感じていただける工夫を取り入れました。私たちは、皆様が気軽に通える歯科医院であり続けるために、日々努力を重ねています。ぜひ、健康と美しさのサポートをご体験ください。
院長について
▽略歴
日本大学 松戸歯学部 卒業
東京医科歯科大学 障害者歯科教室勤務
都内開業医に勤務
2006年 文京区千駄木にゆりの木歯科医院を開設
2018年 医療法人社団YDC ゆりの木歯科医院を開設
プラズマレーザー研究会 会員
ポイック研究会 会員
顎顔面口腔育成学会 理事
床矯正研究会 会員
インビザライン認定歯科医師
国際歯周内科学研究会 会員
東京歯科保険医協会会員
日本リウマチ学会会員
幸せな女性歯科院長経営塾For✳︎MA開設者
日本大学 松戸歯学部 卒業
東京医科歯科大学 障害者歯科教室勤務
都内開業医に勤務
2006年 文京区千駄木にゆりの木歯科医院を開設
2018年 医療法人社団YDC ゆりの木歯科医院を開設
プラズマレーザー研究会 会員
ポイック研究会 会員
顎顔面口腔育成学会 理事
床矯正研究会 会員
インビザライン認定歯科医師
国際歯周内科学研究会 会員
東京歯科保険医協会会員
日本リウマチ学会会員
幸せな女性歯科院長経営塾For✳︎MA開設者
全身の健康を支える予防治療
虫歯ゼロの人生を叶える予防治療
ゆりの木歯科医院では、患者様が「虫歯や歯周病に悩まない人生」を実現できるよう、予防治療を医院の基盤として重視しています。特に、ポイックウォーターを活用した独自の予防ケアを推奨しており、患者様がご自宅でも簡単に継続できるケア方法を提供しています。この取り組みにより、日々のケアと定期的なメンテナンスを組み合わせ、長期的な健康維持を目指しているのが特徴です。
また、ゆりの木歯科医院ではすべての診療において、**エコシステム(除菌治療水)**を使用しています。この除菌治療水は、治療中に口腔内を洗浄し、菌血症を予防する効果があります。これにより、治癒の促進だけでなく、全身の健康リスクを軽減することが可能です。このような予防を軸とした取り組みは、他院との差別化となるポイントです。
定期的なメンテナンスを通じて、患者様の口腔内の状態を細かく把握し、早期に問題を発見することが、健康な歯を保つ鍵です。また、患者様それぞれのライフスタイルや歯の状態に応じたブラッシング指導も行い、日常的に実践しやすいケア方法を提案しています。
ゆりの木歯科医院の予防治療は、ただ歯を清潔に保つだけでなく、全身の健康を支える重要な役割を果たしています。お子様から大人の方まで、一人ひとりに寄り添ったアプローチで、患者様が安心して通える環境を整えています。
また、ゆりの木歯科医院ではすべての診療において、**エコシステム(除菌治療水)**を使用しています。この除菌治療水は、治療中に口腔内を洗浄し、菌血症を予防する効果があります。これにより、治癒の促進だけでなく、全身の健康リスクを軽減することが可能です。このような予防を軸とした取り組みは、他院との差別化となるポイントです。
定期的なメンテナンスを通じて、患者様の口腔内の状態を細かく把握し、早期に問題を発見することが、健康な歯を保つ鍵です。また、患者様それぞれのライフスタイルや歯の状態に応じたブラッシング指導も行い、日常的に実践しやすいケア方法を提案しています。
ゆりの木歯科医院の予防治療は、ただ歯を清潔に保つだけでなく、全身の健康を支える重要な役割を果たしています。お子様から大人の方まで、一人ひとりに寄り添ったアプローチで、患者様が安心して通える環境を整えています。
自然な笑顔と快適さを叶える入れ歯治療
ノンクラスプデンチャー
ゆりの木歯科医院では、患者様一人ひとりのニーズに合わせた入れ歯治療を提供しています。歯を失った場合、そのままにしておくと噛み合わせや発音、さらには顔の形にまで影響を及ぼすことがあります。入れ歯は見た目の美しさだけでなく、食事や会話の快適さを取り戻すために重要な役割を果たす治療法です。
ゆりの木歯科医院の入れ歯治療では、見た目の自然さと使いやすさを重視しています。従来の金属製のバネを使用した部分入れ歯では、金属部分が目立つため気になる患者様もいらっしゃるかもしれません。そのような方には、特殊な樹脂を使用した「ノンクラスプデンチャー」をおすすめしています。この入れ歯は金属バネを使用せず、自然な見た目と軽さ、使いやすさが特徴です。
また、ノンクラスプデンチャーは金属アレルギーの心配が少なく、身体に優しい素材でできています。入れ歯の形状や素材は患者様の口腔内に合わせて調整されるため、違和感が少なく、快適な使用感を提供できる治療法です。さらに、大きな入れ歯が必要な場合でも、しっかりと噛める固定力を確保するため、従来の金属製の入れ歯も選択肢としてご提案しています。
ゆりの木歯科医院では、患者様の生活の質を向上させるため、一人ひとりに最適な入れ歯を提案しています。見た目が気になる方や、入れ歯の不具合にお悩みの方は、ぜひ一度ご相談ください。
ゆりの木歯科医院の入れ歯治療では、見た目の自然さと使いやすさを重視しています。従来の金属製のバネを使用した部分入れ歯では、金属部分が目立つため気になる患者様もいらっしゃるかもしれません。そのような方には、特殊な樹脂を使用した「ノンクラスプデンチャー」をおすすめしています。この入れ歯は金属バネを使用せず、自然な見た目と軽さ、使いやすさが特徴です。
また、ノンクラスプデンチャーは金属アレルギーの心配が少なく、身体に優しい素材でできています。入れ歯の形状や素材は患者様の口腔内に合わせて調整されるため、違和感が少なく、快適な使用感を提供できる治療法です。さらに、大きな入れ歯が必要な場合でも、しっかりと噛める固定力を確保するため、従来の金属製の入れ歯も選択肢としてご提案しています。
ゆりの木歯科医院では、患者様の生活の質を向上させるため、一人ひとりに最適な入れ歯を提案しています。見た目が気になる方や、入れ歯の不具合にお悩みの方は、ぜひ一度ご相談ください。
お子様の健康な歯を育むゆりの木歯科医院の小児歯科
お子様の健康な歯と笑顔を守る歯科医院
ゆりの木歯科医院では、お子様の健康な歯を育むため、小児歯科に力を入れています。乳歯は一時的なものと思われがちですが、その健康状態が将来の永久歯や噛み合わせに大きく影響するため、早期のケアが重要です。ゆりの木歯科医院では、お子様の成長に合わせた最適な治療と予防を提供しています。
乳歯はエナメル質が薄く、むし歯になりやすい特徴があります。むし歯が進行すると、隣の歯に影響を与えたり、永久歯の生え方にも悪影響を及ぼす可能性があるため、早めの診断と治療が必要です。ゆりの木歯科医院では、定期的なフッ素塗布やシーラントと呼ばれる歯の溝を埋める予防処置を通じて、むし歯の発生を防ぐお手伝いをしています。
さらに、治療だけでなく、お子様自身が自分の歯を大切にする習慣を身につけられるよう、歯磨きの指導や食事内容に関するアドバイスも行っています。これにより、歯医者での治療を怖がらず、自分の健康を守る意識を育てることができるでしょう。
ゆりの木歯科医院では、お子様がリラックスして治療を受けられるよう、優しい対応を心がけています。また、お子様の成長に応じた矯正治療にも対応しており、将来的な歯並びや噛み合わせの問題を未然に防ぐためのサポートも行っています。
お子様の健康な笑顔と輝く未来を守るため、私たちは親御様と協力しながら、最適な治療とケアを提供いたします。
乳歯はエナメル質が薄く、むし歯になりやすい特徴があります。むし歯が進行すると、隣の歯に影響を与えたり、永久歯の生え方にも悪影響を及ぼす可能性があるため、早めの診断と治療が必要です。ゆりの木歯科医院では、定期的なフッ素塗布やシーラントと呼ばれる歯の溝を埋める予防処置を通じて、むし歯の発生を防ぐお手伝いをしています。
さらに、治療だけでなく、お子様自身が自分の歯を大切にする習慣を身につけられるよう、歯磨きの指導や食事内容に関するアドバイスも行っています。これにより、歯医者での治療を怖がらず、自分の健康を守る意識を育てることができるでしょう。
ゆりの木歯科医院では、お子様がリラックスして治療を受けられるよう、優しい対応を心がけています。また、お子様の成長に応じた矯正治療にも対応しており、将来的な歯並びや噛み合わせの問題を未然に防ぐためのサポートも行っています。
お子様の健康な笑顔と輝く未来を守るため、私たちは親御様と協力しながら、最適な治療とケアを提供いたします。
健康な歯を守る丁寧な虫歯治療
虫歯を早期発見、将来の健康を守る
ゆりの木歯科医院では、患者様の歯をできる限り長く健康に保つため、丁寧で痛みを最小限に抑えた虫歯治療を行っています。虫歯は、放置すると歯の内部や神経にまで進行し、最終的には歯を失う原因となることがあります。早期に治療を受けることで、健康な歯を守り、将来のトラブルを防ぐことができる病気です。
虫歯は、主に歯の表面に残った食べかすや糖分を栄養とする細菌が、酸を作り出すことで発生します。この酸が歯のエナメル質を溶かし、内部に進行していくと、症状が悪化します。初期の虫歯は痛みを感じにくいため、定期検診を受けることで早期発見が可能です。
治療は、虫歯の進行度に応じて適切に対応します。初期段階の虫歯では、詰め物で簡単に修復ができることが多いです。しかし、進行した虫歯では、神経を保護するために歯の内部を治療し、被せ物で補う必要がある場合があります。ゆりの木歯科医院では、患者様一人ひとりの状態を丁寧に診断し、最適な治療計画をご提案しています。
また、虫歯治療の後も再発を防ぐための予防ケアを重視しています。患者様には適切な歯磨き方法や生活習慣のアドバイスを提供し、虫歯のリスクを減らすお手伝いをしています。お子様にも、楽しく学べる歯磨き指導を行い、自分の歯を大切にする意識を育てています。
ゆりの木歯科医院では、患者様が安心して治療を受けられるよう、痛みに配慮した丁寧な治療を心がけています。
虫歯は、主に歯の表面に残った食べかすや糖分を栄養とする細菌が、酸を作り出すことで発生します。この酸が歯のエナメル質を溶かし、内部に進行していくと、症状が悪化します。初期の虫歯は痛みを感じにくいため、定期検診を受けることで早期発見が可能です。
治療は、虫歯の進行度に応じて適切に対応します。初期段階の虫歯では、詰め物で簡単に修復ができることが多いです。しかし、進行した虫歯では、神経を保護するために歯の内部を治療し、被せ物で補う必要がある場合があります。ゆりの木歯科医院では、患者様一人ひとりの状態を丁寧に診断し、最適な治療計画をご提案しています。
また、虫歯治療の後も再発を防ぐための予防ケアを重視しています。患者様には適切な歯磨き方法や生活習慣のアドバイスを提供し、虫歯のリスクを減らすお手伝いをしています。お子様にも、楽しく学べる歯磨き指導を行い、自分の歯を大切にする意識を育てています。
ゆりの木歯科医院では、患者様が安心して治療を受けられるよう、痛みに配慮した丁寧な治療を心がけています。
自由診療のリスク・副作用、その他
自由診療について
患者様のさまざまなニーズに応えるために自由診療を提供しております。しかし、自由診療には健康保険適用外の治療が含まれるため、以下の点にご注意ください。
【リスクについて】
自由診療には、保険適用治療に比べて高度かつ専門的な治療が含まれる場合があります。これらの治療はより高い技術を要求されるため、一般的な治療よりもリスクが高まる可能性があります。
【副作用について】
すべての医療行為には副作用のリスクが伴います。自由診療の場合、使用する材料や治療方法が特殊な場合があるため、通常の治療とは異なる副作用が発生する可能性があります。
【費用について】
自由診療は健康保険の適用外であるため、保険診療と比較して高額になることがあります。治療前には必ず費用の詳細について説明を行い、ご同意をいただいてから治療を開始します。
【治療の選択について】
患者様の健康状態や希望に合わせて、最適な治療計画を提案します。自由診療は選択肢の一つであり、必ずしもすべての患者様に適しているわけではありません。
【その他の注意事項】
治療後のフォローアップやメンテナンスについても、自由診療の範囲内で行うことがあります。これには追加の費用が発生する場合があります。
患者様一人ひとりに合った治療を心がけております。自由診療を含むすべての治療オプションについて、十分な説明とともに、患者様のご理解とご同意を得ることを重視しています。ご不明な点やご心配なことがございましたら、遠慮なくご相談ください。
患者様のさまざまなニーズに応えるために自由診療を提供しております。しかし、自由診療には健康保険適用外の治療が含まれるため、以下の点にご注意ください。
【リスクについて】
自由診療には、保険適用治療に比べて高度かつ専門的な治療が含まれる場合があります。これらの治療はより高い技術を要求されるため、一般的な治療よりもリスクが高まる可能性があります。
【副作用について】
すべての医療行為には副作用のリスクが伴います。自由診療の場合、使用する材料や治療方法が特殊な場合があるため、通常の治療とは異なる副作用が発生する可能性があります。
【費用について】
自由診療は健康保険の適用外であるため、保険診療と比較して高額になることがあります。治療前には必ず費用の詳細について説明を行い、ご同意をいただいてから治療を開始します。
【治療の選択について】
患者様の健康状態や希望に合わせて、最適な治療計画を提案します。自由診療は選択肢の一つであり、必ずしもすべての患者様に適しているわけではありません。
【その他の注意事項】
治療後のフォローアップやメンテナンスについても、自由診療の範囲内で行うことがあります。これには追加の費用が発生する場合があります。
患者様一人ひとりに合った治療を心がけております。自由診療を含むすべての治療オプションについて、十分な説明とともに、患者様のご理解とご同意を得ることを重視しています。ご不明な点やご心配なことがございましたら、遠慮なくご相談ください。
この医院の口コミはまだありません
受付時間
| 診療時間 | 日 | 月 | 火 | 水 | 木 | 金 | 土 |
|---|---|---|---|---|---|---|---|
| 09:00 ~ 12:30 | |||||||
| 14:00 ~ 17:30 |
休診日: 木曜・日曜・祝日
アクセスマップ
基本情報
| 医院名 | ゆりの木歯科医院 |
| 所在地 | 〒113-0022 東京都 文京区 千駄木3-28-1 |
| 最寄駅 | 千駄木駅 2番出口より徒歩3分 |
| 診療内容 | 歯冠修復、欠損補綴 / 根管治療 / 歯周病治療 / 予防治療 / 小児歯科 / 矯正歯科 / 有床義歯 / 咬み合わせ治療 / 顎関節症治療 |
| 医院ID | 11105 |