高度な先進医療を提供する歯科クリニック
西池袋デンタルクリニックは、医療法人Teeth&Smileの診療部門として、高度な先進医療を提供しています。当クリニックでは、近隣だけでなく遠方からの患者様にもご来院いただいており、完全予約制を採用しています。これにより、患者様お一人に対する治療時間を十分に確保し、質の高い治療を実現しています。
当クリニックのひとつの特徴は、初診時にお口の中全体の診査・診断を行い、患者様とともに治療計画を立てることです。治療計画を立てずに治療に進むことは決してありません。このプロセスを重視することで、患者様に最適な治療を提供することが可能となります。また、矯正歯科治療を一般歯科治療と並行して進めるため、最短の時間で全ての治療が完了するように配慮しています。
さらに、当クリニックでは一般歯科治療に加え、セラミックを中心とした審美補綴、インプラント、歯列矯正(小児・成人)、歯周病治療、歯牙移植、さまざまな義歯製作、メンテナンスに至るまで、幅広い治療を提供しています。特に、金属アレルギーや掌蹠膿疱症に関する治療や、特殊義歯の製作にも対応しており、患者様のさまざまなニーズに応じた治療が可能です。
最後に、患者様の快適な治療を実現するため、各種マウスピース(歯ぎしり防止用やスポーツ用など)のオリジナル製作も行っております。私たちは、患者様の口腔健康を第一に考え、最良の治療を提供することをお約束します。どんなお悩みでもお気軽にご相談ください。
当クリニックのひとつの特徴は、初診時にお口の中全体の診査・診断を行い、患者様とともに治療計画を立てることです。治療計画を立てずに治療に進むことは決してありません。このプロセスを重視することで、患者様に最適な治療を提供することが可能となります。また、矯正歯科治療を一般歯科治療と並行して進めるため、最短の時間で全ての治療が完了するように配慮しています。
さらに、当クリニックでは一般歯科治療に加え、セラミックを中心とした審美補綴、インプラント、歯列矯正(小児・成人)、歯周病治療、歯牙移植、さまざまな義歯製作、メンテナンスに至るまで、幅広い治療を提供しています。特に、金属アレルギーや掌蹠膿疱症に関する治療や、特殊義歯の製作にも対応しており、患者様のさまざまなニーズに応じた治療が可能です。
最後に、患者様の快適な治療を実現するため、各種マウスピース(歯ぎしり防止用やスポーツ用など)のオリジナル製作も行っております。私たちは、患者様の口腔健康を第一に考え、最良の治療を提供することをお約束します。どんなお悩みでもお気軽にご相談ください。
矯正歯科のこだわりポイント
患者様一人ひとりに寄り添った矯正治療
当クリニックでは、矯正歯科治療を通じて、患者様の美しい笑顔をサポートしています。矯正歯科治療は、見た目や噛み合わせを改善するための重要な治療です。当クリニックでは、短期間での治療を目指し、患者様の負担をできるだけ少なくすることに心がけています。
患者様に優しい矯正治療
当クリニックの矯正歯科では、患者様に優しい治療を心がけています。一般的なワイヤーを使用する矯正治療だけでなく、最近注目されているマウスピース矯正も取り入れているのです。マウスピース矯正は、透明で目立ちにくいため、見た目を気にすることなく治療を進めることができます。また、取り外しが可能なため、食事や歯磨きの際に不便を感じることが少なく、患者様にとって快適な治療法です。
幅広い治療オプション
当クリニックでは、「ほんの少しのズレ」や「1本だけ動かしたい」といった患者様のご要望にも柔軟に対応いたします。矯正歯科治療は、患者様のライフスタイルや治療目的に合わせたさまざまなアプローチが可能です。たとえば、軽度の歯のズレや歯並びの気になる部分を集中して治療することで、全体のバランスを整え、自然な美しさを引き出すことができます。
初回相談の重要性
当クリニックでは、初回の無料相談を行っております。初めての矯正治療に不安を感じる患者様も多いと思いますが、無料相談では、専門のスタッフが丁寧にお話を伺い、治療の流れや費用、期間についてわかりやすくご説明いたします。患者様の疑問や不安を解消することを重視し、安心して治療を受けていただける環境を整えています。
患者様に優しい矯正治療
当クリニックの矯正歯科では、患者様に優しい治療を心がけています。一般的なワイヤーを使用する矯正治療だけでなく、最近注目されているマウスピース矯正も取り入れているのです。マウスピース矯正は、透明で目立ちにくいため、見た目を気にすることなく治療を進めることができます。また、取り外しが可能なため、食事や歯磨きの際に不便を感じることが少なく、患者様にとって快適な治療法です。
幅広い治療オプション
当クリニックでは、「ほんの少しのズレ」や「1本だけ動かしたい」といった患者様のご要望にも柔軟に対応いたします。矯正歯科治療は、患者様のライフスタイルや治療目的に合わせたさまざまなアプローチが可能です。たとえば、軽度の歯のズレや歯並びの気になる部分を集中して治療することで、全体のバランスを整え、自然な美しさを引き出すことができます。
初回相談の重要性
当クリニックでは、初回の無料相談を行っております。初めての矯正治療に不安を感じる患者様も多いと思いますが、無料相談では、専門のスタッフが丁寧にお話を伺い、治療の流れや費用、期間についてわかりやすくご説明いたします。患者様の疑問や不安を解消することを重視し、安心して治療を受けていただける環境を整えています。
医院としての理念・方針
患者様の素敵な笑顔作りをお手伝い
当クリニックは、患者様の口腔健康を守ることを最優先に考えています。私たちは、高度な医療技術を駆使し、患者様一人ひとりに合わせた治療を提供することで、安心して通える歯科医院を目指しています。
患者様中心の医療
当クリニックでは、すべての治療において患者様を中心に考えています。初診時には、患者様のお口の中を丁寧に診査し、状況に応じた治療計画を立てます。治療は、あくまで患者様とのコミュニケーションを重視しながら進めるため、納得いくまで説明を行い、安心して治療を受けていただける環境を整えています。
患者様の未来を考えた治療
当クリニックは、患者様の一生にわたる口腔健康を支えるため、予防歯科にも力を入れています。定期的なメンテナンスを通じて、患者様のお口の健康を維持するお手伝いをいたします。私たちの目標は、患者様が笑顔で日々を過ごせるよう、安心して治療を受けていただくことです。ぜひお気軽にご相談ください。
患者様中心の医療
当クリニックでは、すべての治療において患者様を中心に考えています。初診時には、患者様のお口の中を丁寧に診査し、状況に応じた治療計画を立てます。治療は、あくまで患者様とのコミュニケーションを重視しながら進めるため、納得いくまで説明を行い、安心して治療を受けていただける環境を整えています。
患者様の未来を考えた治療
当クリニックは、患者様の一生にわたる口腔健康を支えるため、予防歯科にも力を入れています。定期的なメンテナンスを通じて、患者様のお口の健康を維持するお手伝いをいたします。私たちの目標は、患者様が笑顔で日々を過ごせるよう、安心して治療を受けていただくことです。ぜひお気軽にご相談ください。
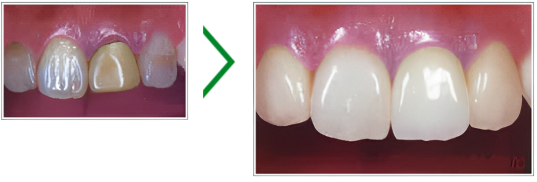
美しく機能的な歯を提供するジルコニアセラミック治療
セラミックの中のセラミックともいえるジルコニア
当クリニックでは、ジルコニアセラミック治療を通じて、患者様の歯の美しさと機能を同時にサポートしています。ジルコニアは、強度と美しさを兼ね備えた優れた素材で、審美的な修復治療を実現するのです。
ジルコニアセラミックの特徴
ジルコニアは、酸化ジルコニウムを安定化させたセラミックで、宝飾品として知られるキュービックジルコニアとほぼ同じ成分でできています。この素材の特徴は、非常に高い強度としなやかさです。ジルコニアは、噛む力にも耐えることができるため、奥歯などの負担がかかる部位の修復にも適しています。
また、光の透過性が高く、自然な透明感を持つため、他の歯と調和する美しい仕上がりが期待できます。治療後は、自然な歯のような見た目を実現できるため、自信を持って笑顔を見せることができます。さらに、ジルコニアは金属アレルギーの心配が少なく、安心して使用できる素材です。
安心の治療費
当クリニックでは、ジルコニアセラミック治療の費用を1本あたり6万円から12万円でご提供しております。治療本数や素材の種類により料金が異なりますが、患者様のニーズに合わせた選択肢を用意しております。高品質な素材を使用し、患者様にとって満足のいく結果を提供できるよう努めています。
治療の流れ
ジルコニアセラミック治療は、まず初めにカウンセリングを行い、患者様の口腔状態や治療希望をお伺いします。その後、必要に応じてレントゲン検査やお口の中の詳細な診査を行い、最適な治療計画を立てます。治療が決定した後、必要な処置を行い、最後にジルコニアセラミックを装着します。すべてのステップで患者様とのコミュニケーションを重視し、安心して治療を受けていただけるよう心がけています。
ジルコニアセラミックの特徴
ジルコニアは、酸化ジルコニウムを安定化させたセラミックで、宝飾品として知られるキュービックジルコニアとほぼ同じ成分でできています。この素材の特徴は、非常に高い強度としなやかさです。ジルコニアは、噛む力にも耐えることができるため、奥歯などの負担がかかる部位の修復にも適しています。
また、光の透過性が高く、自然な透明感を持つため、他の歯と調和する美しい仕上がりが期待できます。治療後は、自然な歯のような見た目を実現できるため、自信を持って笑顔を見せることができます。さらに、ジルコニアは金属アレルギーの心配が少なく、安心して使用できる素材です。
安心の治療費
当クリニックでは、ジルコニアセラミック治療の費用を1本あたり6万円から12万円でご提供しております。治療本数や素材の種類により料金が異なりますが、患者様のニーズに合わせた選択肢を用意しております。高品質な素材を使用し、患者様にとって満足のいく結果を提供できるよう努めています。
治療の流れ
ジルコニアセラミック治療は、まず初めにカウンセリングを行い、患者様の口腔状態や治療希望をお伺いします。その後、必要に応じてレントゲン検査やお口の中の詳細な診査を行い、最適な治療計画を立てます。治療が決定した後、必要な処置を行い、最後にジルコニアセラミックを装着します。すべてのステップで患者様とのコミュニケーションを重視し、安心して治療を受けていただけるよう心がけています。
見た目の美しさと機能性を兼ね備えた優れた入れ歯
金属アレルギーの方でも安心して利用可能
当クリニックでは、ノンクラスプデンチャーを取り入れて、患者様により快適で美しい入れ歯を提供しています。この入れ歯は、金属の留め具を使用せず、しっかりとした安定感を持ちながら、審美性に優れた治療法です。
ノンクラスプデンチャーとは
ノンクラスプデンチャーは、歯茎を包み込む形状をしており、金属製の留め具を使わずに弾力性のあるプラスティックの義歯床で支えられています。このため、口を開けたときにも金属が見えず、周囲に自然に溶け込むため、見た目にも非常に美しい入れ歯です。
審美性と快適さ
当クリニックのノンクラスプデンチャーは、患者様が求める審美性を重視しています。義歯周辺に金具がないため、自然な見た目を実現し、笑顔に自信を持てるようサポートします。また、歯肉の色と同化する素材を使用しているため、より一層自然な印象を与えることができます。これにより、入れ歯を気にせず、日常生活を楽しむことができます。
安定性と耐久性
ノンクラスプデンチャーは、弾力性のある素材で作られているため、しっかりとした安定感があります。食事や会話中でもずれにくく、快適に過ごすことができます。また、使用する素材は耐久性が高く、長期間にわたり安心してお使いいただけるよう配慮されています。金属製の留め具がないため、金属アレルギーの方でも安心してご利用いただけます。
ノンクラスプデンチャーとは
ノンクラスプデンチャーは、歯茎を包み込む形状をしており、金属製の留め具を使わずに弾力性のあるプラスティックの義歯床で支えられています。このため、口を開けたときにも金属が見えず、周囲に自然に溶け込むため、見た目にも非常に美しい入れ歯です。
審美性と快適さ
当クリニックのノンクラスプデンチャーは、患者様が求める審美性を重視しています。義歯周辺に金具がないため、自然な見た目を実現し、笑顔に自信を持てるようサポートします。また、歯肉の色と同化する素材を使用しているため、より一層自然な印象を与えることができます。これにより、入れ歯を気にせず、日常生活を楽しむことができます。
安定性と耐久性
ノンクラスプデンチャーは、弾力性のある素材で作られているため、しっかりとした安定感があります。食事や会話中でもずれにくく、快適に過ごすことができます。また、使用する素材は耐久性が高く、長期間にわたり安心してお使いいただけるよう配慮されています。金属製の留め具がないため、金属アレルギーの方でも安心してご利用いただけます。
健康的で美しい歯ぐきを手に入れるためのピーリング
黒ずみが気になる方や口元を美しく整えたい方におすすめ
当クリニックでは、歯ぐきのピーリング治療を提供し、患者様の美しい笑顔をサポートしています。この治療は、専用の薬剤を使用して歯ぐきの色をピンク色に整える審美治療です。
歯ぐきのピーリングとは
歯ぐきのピーリングは、長年のタバコや紫外線、口呼吸などが原因で黒ずんでしまった歯肉を改善するための治療です。専用の薬剤を使って、歯ぐきを優しくケアし、ピンク色の健康的な状態に戻すことを目指します。これにより、口元の印象が大きく変わり、より自信を持って笑顔を見せることができます。
施術の流れ
当クリニックでの歯ぐきのピーリングは、まずカウンセリングから始まります。患者様のお悩みや希望を伺い、最適な治療方法をご提案いたします。施術は短時間で済み、特別な準備は必要ありません。治療後は、しばらくは食事に気をつけていただきますが、通常の日常生活に戻るのも簡単です。
効果の持続性
歯ぐきのピーリングは、効果が2~3年持続します。定期的なメンテナンスを行うことで、より長く美しい状態を保つことができます。歯ぐきの色が整うことで、全体の口元の美しさが引き立ち、自信を持って話したり笑ったりすることができます。
歯ぐきのピーリングとは
歯ぐきのピーリングは、長年のタバコや紫外線、口呼吸などが原因で黒ずんでしまった歯肉を改善するための治療です。専用の薬剤を使って、歯ぐきを優しくケアし、ピンク色の健康的な状態に戻すことを目指します。これにより、口元の印象が大きく変わり、より自信を持って笑顔を見せることができます。
施術の流れ
当クリニックでの歯ぐきのピーリングは、まずカウンセリングから始まります。患者様のお悩みや希望を伺い、最適な治療方法をご提案いたします。施術は短時間で済み、特別な準備は必要ありません。治療後は、しばらくは食事に気をつけていただきますが、通常の日常生活に戻るのも簡単です。
効果の持続性
歯ぐきのピーリングは、効果が2~3年持続します。定期的なメンテナンスを行うことで、より長く美しい状態を保つことができます。歯ぐきの色が整うことで、全体の口元の美しさが引き立ち、自信を持って話したり笑ったりすることができます。
歯をさらに美しく彩る口腔内ジュエリー
個性や好みに合わせたデザインを選ぶことで自分だけのスタイルを楽しめる
当クリニックでは、最近人気の口腔内ジュエリー、いわゆる「歯のピアス」をご提供しています。この施術は、歯を削らずに簡単に行えるため、患者様の負担が少なく、個性的なおしゃれを楽しむことができます。ここでは、ジュエリー装着の特徴やメリットについて詳しくご紹介いたします。
口腔内ジュエリーとは
口腔内ジュエリーは、歯の表面にジュエリーを装着することで、笑顔に輝きを与えるお洒落の一種です。最近では、世界的に流行しつつあり、さまざまなデザインや色のジュエリーが登場しています。
ジュエリー装着の最大の魅力は、何と言ってもその見た目の美しさです。歯にダイヤモンドを装着させることで、笑顔がより一層引き立ちます。また、特別なイベントや日常生活での気分転換にも最適です。周りの人たちからも注目されること間違いなしです。
簡単・安心の施術
当クリニックでは、歯を削らずにジュエリーを装着しますので、痛みや不快感はほとんどありません。施術時間も短く、すぐにお洒落を楽しむことができます。ジュエリーはさまざまなデザインからお選びいただけますので、気軽にお試しいただけます。
安全性とアフターケア
当クリニックでは、使用する素材にこだわり、アレルギー反応を起こしにくいジュエリーを選んでいます。さらに、施術後のケアについてもアドバイスを行い、ジュエリーが長持ちするようサポートいたします。何か気になることがあれば、いつでもお気軽にご相談ください。
口腔内ジュエリーとは
口腔内ジュエリーは、歯の表面にジュエリーを装着することで、笑顔に輝きを与えるお洒落の一種です。最近では、世界的に流行しつつあり、さまざまなデザインや色のジュエリーが登場しています。
ジュエリー装着の最大の魅力は、何と言ってもその見た目の美しさです。歯にダイヤモンドを装着させることで、笑顔がより一層引き立ちます。また、特別なイベントや日常生活での気分転換にも最適です。周りの人たちからも注目されること間違いなしです。
簡単・安心の施術
当クリニックでは、歯を削らずにジュエリーを装着しますので、痛みや不快感はほとんどありません。施術時間も短く、すぐにお洒落を楽しむことができます。ジュエリーはさまざまなデザインからお選びいただけますので、気軽にお試しいただけます。
安全性とアフターケア
当クリニックでは、使用する素材にこだわり、アレルギー反応を起こしにくいジュエリーを選んでいます。さらに、施術後のケアについてもアドバイスを行い、ジュエリーが長持ちするようサポートいたします。何か気になることがあれば、いつでもお気軽にご相談ください。
自由診療のリスク・副作用、その他
自由診療について
患者様のさまざまなニーズに応えるために自由診療を提供しております。しかし、自由診療には健康保険適用外の治療が含まれるため、以下の点にご注意ください。
【リスクについて】
自由診療には、保険適用治療に比べて高度かつ専門的な治療が含まれる場合があります。これらの治療はより高い技術を要求されるため、一般的な治療よりもリスクが高まる可能性があります。
【副作用について】
すべての医療行為には副作用のリスクが伴います。自由診療の場合、使用する材料や治療方法が特殊な場合があるため、通常の治療とは異なる副作用が発生する可能性があります。
【費用について】
自由診療は健康保険の適用外であるため、保険診療と比較して高額になることがあります。治療前には必ず費用の詳細について説明を行い、ご同意をいただいてから治療を開始します。
【治療の選択について】
患者様の健康状態や希望に合わせて、最適な治療計画を提案します。自由診療は選択肢の一つであり、必ずしもすべての患者様に適しているわけではありません。
【その他の注意事項】
治療後のフォローアップやメンテナンスについても、自由診療の範囲内で行うことがあります。これには追加の費用が発生する場合があります。
患者様一人ひとりに合った治療を心がけております。自由診療を含むすべての治療オプションについて、十分な説明とともに、患者様のご理解とご同意を得ることを重視しています。ご不明な点やご心配なことがございましたら、遠慮なくご相談ください。
患者様のさまざまなニーズに応えるために自由診療を提供しております。しかし、自由診療には健康保険適用外の治療が含まれるため、以下の点にご注意ください。
【リスクについて】
自由診療には、保険適用治療に比べて高度かつ専門的な治療が含まれる場合があります。これらの治療はより高い技術を要求されるため、一般的な治療よりもリスクが高まる可能性があります。
【副作用について】
すべての医療行為には副作用のリスクが伴います。自由診療の場合、使用する材料や治療方法が特殊な場合があるため、通常の治療とは異なる副作用が発生する可能性があります。
【費用について】
自由診療は健康保険の適用外であるため、保険診療と比較して高額になることがあります。治療前には必ず費用の詳細について説明を行い、ご同意をいただいてから治療を開始します。
【治療の選択について】
患者様の健康状態や希望に合わせて、最適な治療計画を提案します。自由診療は選択肢の一つであり、必ずしもすべての患者様に適しているわけではありません。
【その他の注意事項】
治療後のフォローアップやメンテナンスについても、自由診療の範囲内で行うことがあります。これには追加の費用が発生する場合があります。
患者様一人ひとりに合った治療を心がけております。自由診療を含むすべての治療オプションについて、十分な説明とともに、患者様のご理解とご同意を得ることを重視しています。ご不明な点やご心配なことがございましたら、遠慮なくご相談ください。
この医院の口コミはまだありません
受付時間
| 診療時間 | 日 | 月 | 火 | 水 | 木 | 金 | 土 |
|---|---|---|---|---|---|---|---|
| 09:30 ~ 13:00 | |||||||
| 14:30 ~ 20:00 | |||||||
| 09:30 ~ 13:00 |
休診日:日曜・月曜・祝日
※最終予約時間は診療終了時間30分前まで
アクセスマップ
基本情報
| 医院名 | 西池袋デンタルクリニック |
| 所在地 | 〒171-0021 東京都 豊島区 西池袋4-40-4 |
| 最寄駅 | 椎名町駅 南出口から徒歩約2分 |
| 診療内容 | 歯冠修復、欠損補綴 / 根管治療 / 歯周病治療 / 予防治療 / 小児歯科 / 矯正歯科 / 口腔外科治療 / 有床義歯 / インプラント治療 |
| 医院ID | 10271 |